轻度脑积水图片

轻度脑积水
图片尺寸3264x1840
李春志 男 64 脑积水 3-2脑室腹腔分流
图片尺寸2000x2667![【读片】脑积水 [病例帖]](https://i.ecywang.com/upload/1/img1.baidu.com/it/u=2712006585,2894218197&fm=253&fmt=auto&app=138&f=JPEG?w=500&h=752)
【读片】脑积水 [病例帖]
图片尺寸2000x3008
脑积水有哪些症状
图片尺寸500x579
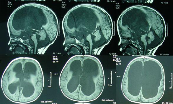
脑积水ct影像
图片尺寸1500x935
脑积水一例
图片尺寸3264x2448
脑积水不治疗会怎么样
图片尺寸300x220
脑积水的症状,诊断及治疗 - 好大夫在线
图片尺寸1080x1330
交通性脑积水(正常颅压性脑积水)vp分流治疗一例
图片尺寸1200x2133
小儿脑积水案例分享八月龄男童患者
图片尺寸1000x780
【原创】典型的梗阻性脑积水
图片尺寸2400x3200
为轻度脑积水,头颅大小形态正常,双侧脑实质基本对称,颅板下未见明显
图片尺寸640x480
女青年被脑积水折磨近20年,这个办法彻底解决
图片尺寸914x620
脑积水的诊断与治疗 - 好大夫在线
图片尺寸4000x3000
婴儿脑积水
图片尺寸437x475
脑积水
图片尺寸2240x2843
小儿脑积水的症状
图片尺寸450x335
六个月宝宝头上可能碰到起个包,查ct意外发现轻度脑积水,医生开了一个
图片尺寸445x600
一直以为是脑外伤后遗症,原来却是脑积水.
图片尺寸1200x1600
婴儿脑积水怎么治疗好婴儿脑积水治疗的方法
图片尺寸586x355