轻度脑积水ct图

脑积水ct影像
图片尺寸1500x935
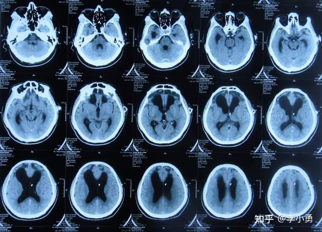
脑积水ct显示,侧脑室明显扩大,脑沟脑回消失
图片尺寸1080x1330![【读片】脑积水 [病例帖]](https://i.ecywang.com/upload/1/img1.baidu.com/it/u=2712006585,2894218197&fm=253&fmt=auto&app=138&f=JPEG?w=500&h=752)
【读片】脑积水 [病例帖]
图片尺寸2000x3008
脑积水的类型及影像表现
图片尺寸891x629
脑积水一例
图片尺寸3264x2448
在当地的河南省周口市某医院查头颅ct,mri诊断为"脑积水"(片子丢失)
图片尺寸640x935
脑积水ct影像
图片尺寸1500x1024
在山西省某三甲医院复查,头颅ct提示"梗阻性脑积水,侧脑室,三脑室增大
图片尺寸926x490
4次查头颅ct(图-14,图-15,图-16,图-17)均示仍脑积水,多次行腰椎穿刺
图片尺寸640x512
检查:做过脑ct,核磁共振,报告显示轻度脑积水 想得到怎样的帮助:.1.
图片尺寸3264x1840
肖庆:患者间歇性头疼2个月,一查竟然是脑积水!_手机搜狐网
图片尺寸2976x3968
马胜林,男,68岁左侧小脑出血,梗阻性脑积水
图片尺寸2000x2667
颅脑火器外伤后1年内2次脑室引流 颅内异物取出术,又脑积水严重颅内
图片尺寸640x583
脑外伤后脑积水内镜三脑室造瘘术和脑积水分流术后仍脑积水意识差不能
图片尺寸640x460
图-9:2015年4月2日头颅ct图-8:2015年3月30日头颅ct脑积水腹腔分流术
图片尺寸640x612
病例分享脑积水
图片尺寸3968x2976
病例分享脑积水
图片尺寸3968x2976
并发脑萎缩的老年正常压力脑积水步态不稳走路前冲不能控制
图片尺寸1062x970
颅内动脉瘤栓塞术后和开颅术脑脊液鼻漏修补术后加重脑积水,且腰大池
图片尺寸640x450
出院时头颅ct示仍有脑积水(图-9);出院时:意识差,不能走路,不能言语
图片尺寸640x707