轻度龋齿图片

最后一颗牙是蛀牙么?
图片尺寸1296x776
这是轻度龋齿还是中度?求解答感谢!
图片尺寸920x1397
浅龋齿图片
图片尺寸536x500
浅龋,临床上是建议补牙处理,还是刷牙观察?
图片尺寸1600x1599
科学育儿真的很重要,小时候习惯含奶入睡,如今14颗龋齿,作为 - 抖音
图片尺寸1074x1434
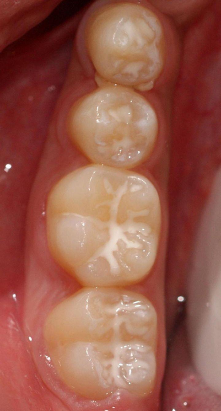
这2颗都是浅龋吗,怎么治疗
图片尺寸599x800
浅龋,临床上是建议补牙处理,还是刷牙观察?
图片尺寸1600x1600
牙齿浅龋图
图片尺寸750x500
右下后牙发黑半年,诊断中龋
图片尺寸1280x960
龋洞
图片尺寸1000x658
可乐龋齿图
图片尺寸750x500
蛀牙不补,攒好钱等着种牙吧
图片尺寸1078x850
龋齿俗称虫牙蛀牙是怎么产生的
图片尺寸600x399
浅龋齿一定要补吗?
图片尺寸720x1337
龋齿的那些修复事
图片尺寸640x334
请问这是蛀牙吗?如图
图片尺寸423x545
门牙间隙中龋
图片尺寸1600x1016
做好龋齿的防治让孩子终身受益
图片尺寸396x313
乳前牙龋齿治疗
图片尺寸1800x2400
台南市龋齿专家_台南市治疗龋齿哪个专家好_台南市治疗龋齿最好的专家
图片尺寸706x400