输卵管 四维

涿州市医院生殖医学科子宫输卵管四维超声造影上线啦!_宫腔_检查_盆腔
图片尺寸756x370
四维子宫输卵管超声造影助你好孕
图片尺寸505x323
特色技术一招鲜特色项目子宫输卵管四维超声造影
图片尺寸762x502
超声新技术,我院开展四维子宫输卵管超声造影术
图片尺寸700x525
科普备孕好帮手四维输卵管造影
图片尺寸838x631
我院开展首例动态四维立体输卵管超声造影技术
图片尺寸1456x840
子宫输卵管四维超声造影不孕患者最好的遇见
图片尺寸640x480
高尚超声:四维/三维子宫输卵管超声造影
图片尺寸535x457
科普备孕好帮手四维输卵管造影
图片尺寸640x446
【医路同行】(二十一)四维子宫输卵管超声造影术
图片尺寸1080x341
生殖中心成功开展四维子宫输卵管超声造影
图片尺寸599x436
超声科为您助孕经阴道四维超声子宫输卵管造影
图片尺寸1061x736
高尚超声:四维/三维子宫输卵管超声造影
图片尺寸610x457
3d4d超声输卵管造影术02照通你的孕育之路
图片尺寸560x426
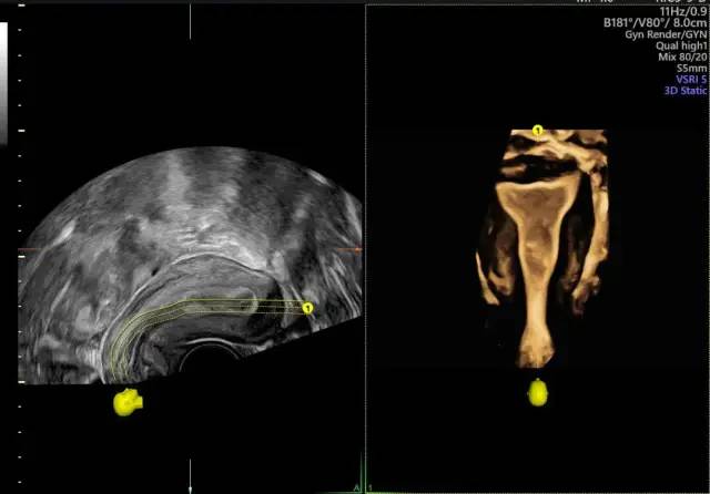
四维图像直观,精美,涵盖广泛,造影信息丰富,清晰显示子宫,输卵管空间
图片尺寸600x441
输卵管造影:很疼一定是堵得很厉害?
图片尺寸640x640
高尚超声:四维/三维子宫输卵管超声造影
图片尺寸610x457
山东大学齐鲁医院德州医院生殖医学科再获锦旗子宫输卵管四维超声造影
图片尺寸550x257
不孕不育家庭的新福音-----子宫输卵管四维超声造影
图片尺寸1200x1600
四维彩超输卵管造影
图片尺寸960x960