输尿管息肉

输尿管息肉的诊治体会(附18例报告) - 好大夫在线
图片尺寸2272x1704
输尿管息肉图片
图片尺寸828x552
输尿管内也会长息肉 - 好大夫在线
图片尺寸1920x1440
输尿管管腔狭窄闭锁,纤细的导丝导管无法通过结石引起的息肉和输尿管
图片尺寸1035x1049
术中见输尿管结石被息肉包裹,形成完全梗阻,此类患者虽经钬激光碎石
图片尺寸1012x991
反复的体外碎石后,超过6次,形成的输尿管息肉,狭窄
图片尺寸680x907
有时输尿管镜检查未发现结石应该考虑到重复肾问题输尿管软镜联合经皮
图片尺寸1600x1578
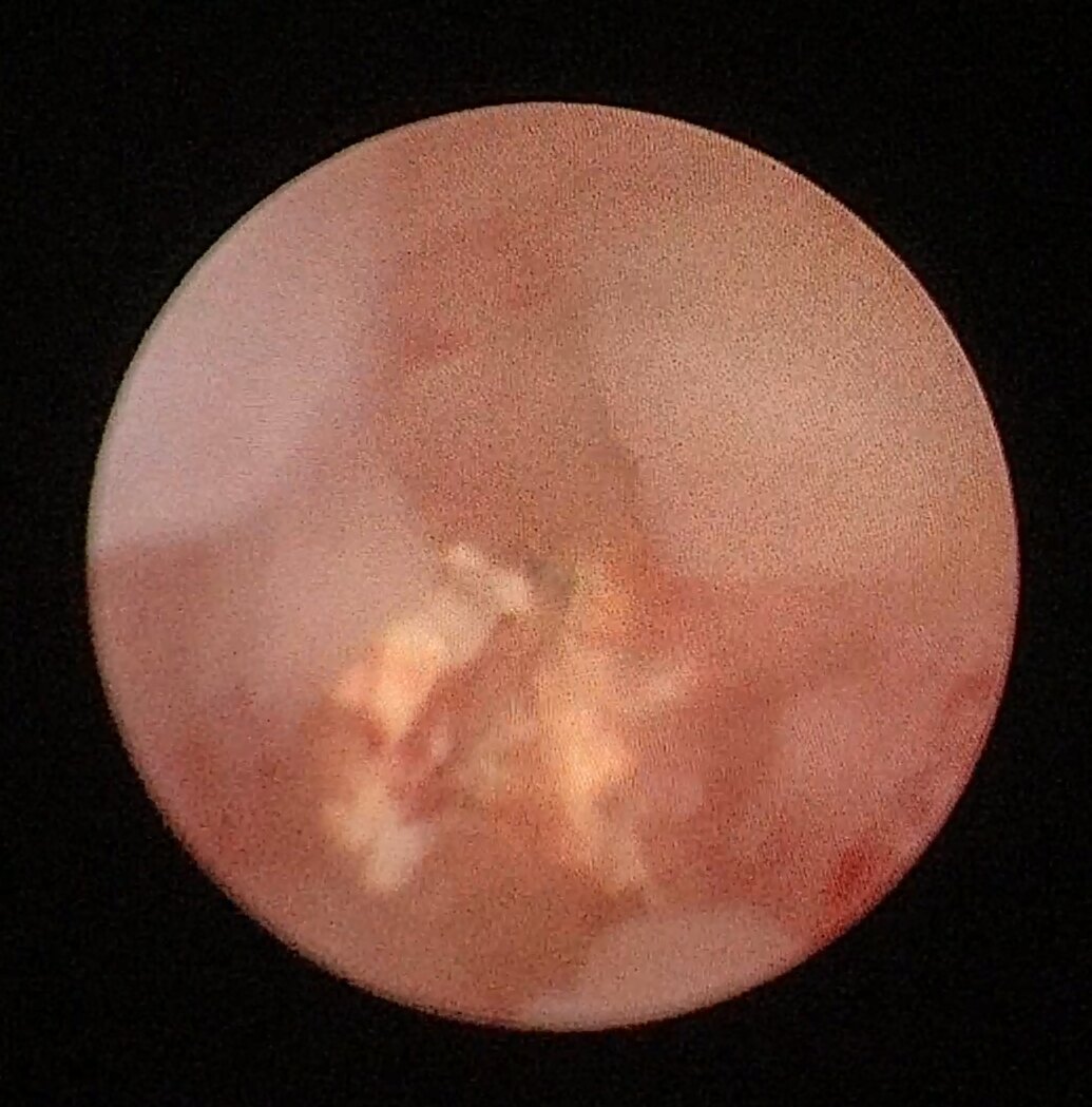
输尿管结石被息肉包裹
图片尺寸640x480
【图】息肉状膀胱炎病理图谱 - 泌尿系统 - 天山医学院
图片尺寸653x454
输尿管结石刺激引起的息肉,狭窄
图片尺寸1200x1600
pcnl围手术期健康教育
图片尺寸598x448
输尿管结石_介绍_治疗方式 - 好大夫在线
图片尺寸1009x979
20170401f60y尿道口息肉
图片尺寸600x800
肾输尿管先天性畸形治疗的最新进展(二)_先天性泌尿系畸形_先天性泌尿
图片尺寸1032x866
输尿管息肉
图片尺寸733x487
输尿管_患者_肾脏
图片尺寸600x593
我叫"息肉",很容易变成癌!来看看你有没有!
图片尺寸1080x489
肾输尿管先天性畸形治疗的最新进展(二)_先天性泌尿系畸形_先天性泌尿
图片尺寸1060x882
女63岁临床诊断 尿道口息肉
图片尺寸960x712
我叫息肉很容易变成癌
图片尺寸585x414