输尿管肿瘤

经腹腔镜完成的输尿管癌根治术标本.
图片尺寸1500x1500
腹腔镜肾输尿管全长切除实例引发的思考)_输尿管肿瘤_介绍_治疗方式
图片尺寸1409x1057
首页 爱潍坊 本地输尿管肿瘤很多患者早期多无症状,只是在查体的时候
图片尺寸1080x1440
浸润性肾盂输尿管尿路上皮癌1例 - 好大夫在线
图片尺寸1200x1600
既往结石病史,当地医院ct提示左侧输尿管下段肿物,考虑肿瘤可能,左肾
图片尺寸1600x1200
输尿管开口囊肿的检查和微创治疗 - 好大夫在线
图片尺寸919x737
输尿管结石手术中发现膀胱肿瘤
图片尺寸4032x3024
输尿管肿瘤_输尿管肿瘤手术 - 好大夫在线
图片尺寸1080x1440
罕见病-孤立肾残存输尿管肿瘤_输尿管肿瘤_输尿管肿瘤介绍 - 好大夫
图片尺寸1840x2450
罕见病-孤立肾残存输尿管肿瘤_输尿管肿瘤_输尿管肿瘤介绍 - 好大夫
图片尺寸3264x1840
输尿管肿瘤
图片尺寸600x800
输尿管肿瘤,肾盂肿瘤的检查与治疗 - 好大夫在线
图片尺寸619x961
腹腔镜下右输尿管癌手术,根治性微创手术治疗右输尿管癌 - 好大夫在线
图片尺寸3000x4000
罕见病-孤立肾残存输尿管肿瘤_输尿管肿瘤_输尿管肿瘤介绍 - 好大夫
图片尺寸1840x3264
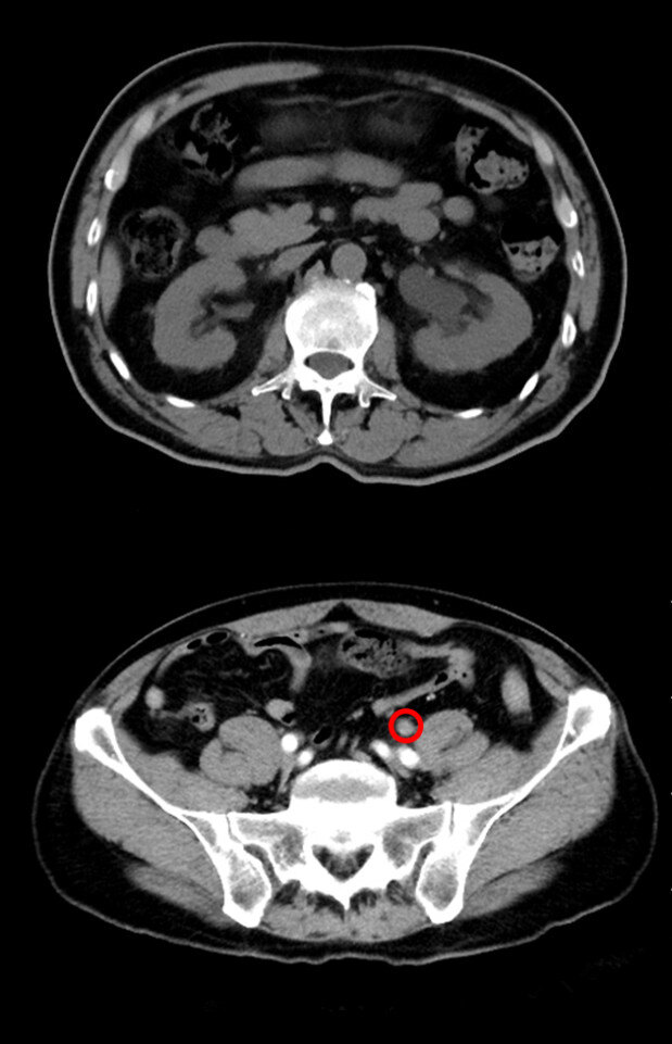
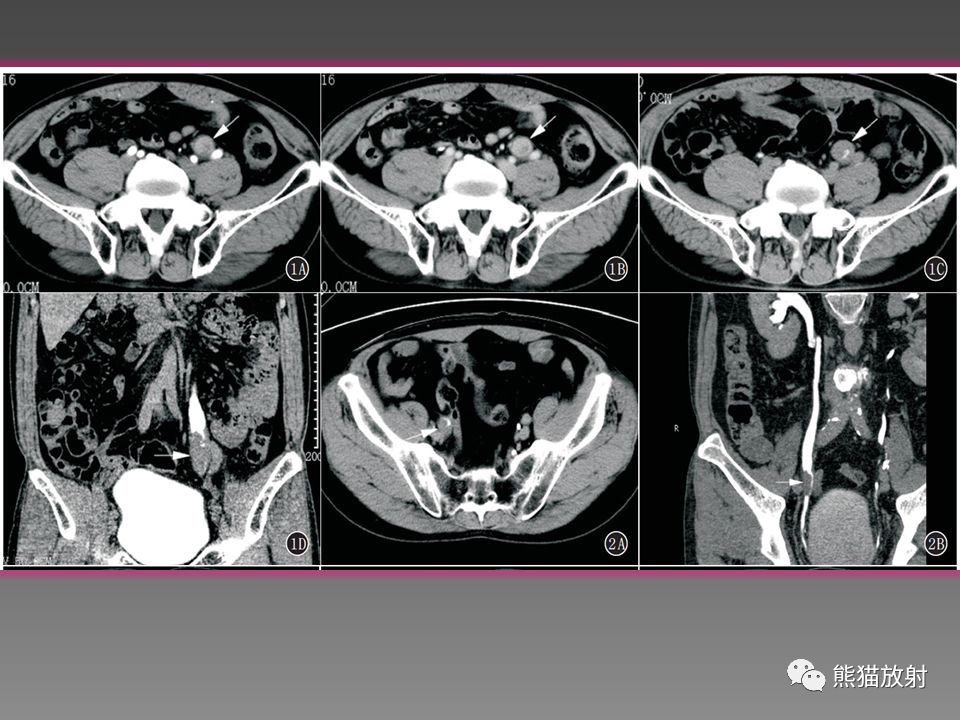
输尿管肿瘤影像诊断及鉴别诊断
图片尺寸960x720
浸润性肾盂输尿管尿路上皮癌1例 - 好大夫在线
图片尺寸1366x768
微创腹腔镜下输尿管癌根治_输尿管肿瘤_输尿管肿瘤治疗方式 - 好大夫
图片尺寸1080x1440![【共享】输尿管癌照片 [病例帖]](https://i.ecywang.com/upload/1/img2.baidu.com/it/u=3737601943,2848469263&fm=253&fmt=auto&app=138&f=JPEG?w=667&h=500)
【共享】输尿管癌照片 [病例帖]
图片尺寸2592x1944
990医院泌尿外科(机关院区)成功完成一例腹腔镜复杂输尿管肿瘤切除术
图片尺寸1080x1440
腹腔镜左肾根治性切除术_输尿管肿瘤_输尿管肿瘤治疗方式 - 好大夫
图片尺寸1200x1600