输尿管ct

ct提示右侧输尿管上段结石.
图片尺寸503x377
ct提示:左侧输尿管起始段结石
图片尺寸506x407
输尿管"石街"病例分享
图片尺寸2000x2667
输尿管结石ct诊断好
图片尺寸1080x1440
腹部ct提示左侧输尿管上段结石并左肾盂扩张,既往糖尿病病
图片尺寸1600x1200
左输尿管上段结石
图片尺寸2000x2667
无腰痛的输尿管结石危害大,需及时,正确处理 - 好大夫在线
图片尺寸1080x1920
腹部ct扫描提示右肾中度积水,右输尿管扩张明显.
图片尺寸1599x1199
患者术前ct可见右输尿管末端结石,右肾结石.
图片尺寸3557x2000
术前ct检查,显示左侧输尿管上段结石,左肾结石22mm大小!
图片尺寸1080x810
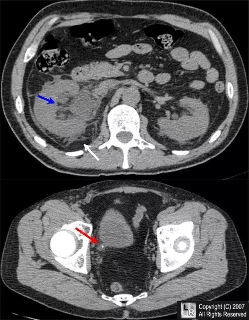
最近奇事很多,一例少见的输尿管结石患者的输尿管情况.
图片尺寸1184x1332
临床实战从发病到影像学表现全面了解输尿管结石
图片尺寸500x641
微创输尿管镜下泌尿系结石治疗
图片尺寸1033x1378
男性80岁左输尿管远端占位左肾盂输尿管扩张行ct引导下穿刺活检
图片尺寸2666x2000
术前左侧先天性肾盂输尿管移行部狭窄的ct影像改变
图片尺寸1199x1599
此图为患者泌尿系统ct,可见左侧输尿管中段结石并左侧输尿管中上段,左
图片尺寸2000x2667
案例故事67嵌顿结石堵死输尿管腰痛积水顺行软镜钬激光发威水落石出
图片尺寸1079x967
祝贺龙南县第一人民医院泌尿外科完成百例输尿管软镜手术.
图片尺寸2667x2000
男性80岁左输尿管远端占位左肾盂输尿管扩张行ct引导下穿刺活检
图片尺寸2666x2000
患者术前ct检查,确诊输尿管上段结石,行经皮肾镜碎石取石术
图片尺寸1200x1604