过敏和荨麻疹图片区别

荨麻疹和湿疹都是生活中比较常见的两种过敏性皮肤病,症状非常相似
图片尺寸900x702
荨麻疹怎样辨别杭州市三院徐瑾医生提醒有这些症状就要注意啦
图片尺寸700x958
又红又痒湿疹还是荨麻疹一文说清
图片尺寸1080x645
1荨麻疹一般与食物,环境有关,是一种过敏反应.
图片尺寸689x902
荨麻疹荨麻疹类型急性荨麻疹:突发性发作迅速慢性荨麻疹:病程较 - 抖
图片尺寸1080x1440
荨麻疹和过敏傻傻分不清皮肤病亲测无误
图片尺寸720x960
风湿疹|教你一分钟区分湿疹和荨麻疹
图片尺寸528x335
如何区分湿疹和荨麻疹
图片尺寸1080x1429
中医"麻疹""风疹""瘾疹"一一区别,临床表现和意义
图片尺寸2309x1280
如何辨别荨麻疹和湿疹?_皮肤_症状_生活
图片尺寸389x218
什么是荨麻疹
图片尺寸620x1080
皮肤过敏怎么办?先区分湿疹和荨麻疹
图片尺寸1080x718
荨麻疹初期症状图片,急性有风团瘙痒还可发热(100种皮肤病对照图片)
图片尺寸592x480
荨麻疹有哪些类型需要您了解的荨麻疹
图片尺寸400x300
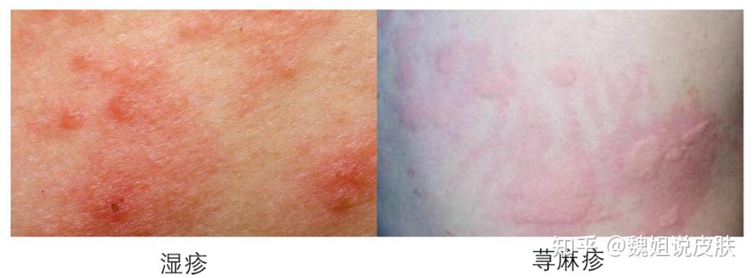
湿疹(图左)和荨麻疹(图右)的对比图片湿疹和荨麻疹都是过敏性皮肤病.
图片尺寸478x336
湿疹与荨麻疹有什么区别?
图片尺寸900x383
【荨麻疹】中医汉方生物脱敏疗法:改变过敏体质 根治荨麻疹
图片尺寸362x186
寻荨l麻疹乳膏湿l疹抑l菌止l痒湿l毒风团汗l孢疹过敏瘙l痒
图片尺寸750x987
宛伊蛇由抑菌膏荨麻疹和湿疹的区别是什么怎么预防荨麻疹
图片尺寸500x400
荨麻疹和湿疹需要注意的共同事项:寻找病因并隔离过敏源:找出并避免
图片尺寸1075x396