近端小管曲部

尿极 血管球 远曲小管 球旁细胞 近曲小管 血管极 第14页 (共21页
图片尺寸1080x810
肾小管(renal tubule) 近端小管 (proximal tubule) 肾小管 细段
图片尺寸1080x810
图中所示,近曲小管上皮细胞的病变为
图片尺寸890x621
生理学(泌尿系统)ppt 一 肾的构造 肾小体 血管球 肾小囊 近曲小管 细
图片尺寸1080x810
水,离子及渗透压的调节ppt 6,肾脏 功能 肾 小 体 肾小囊 近端小管 近
图片尺寸1080x810
学,内科学 二,肾 血管球 肾小体 肾小囊 肾单位 肾小管 曲部 远 端 小
图片尺寸1080x810
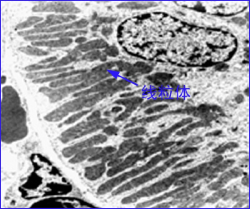
近端小管曲部
图片尺寸800x669
正常情况下,葡萄糖经肾小球滤过后,有90%的葡萄糖与分布在近曲小管的
图片尺寸530x578
照片名称:46近曲小管
图片尺寸670x502
近端小管曲部|2|15
图片尺寸220x187
讲义第十章尿的生成和排放上
图片尺寸818x886
肌酐高是肾衰竭的早期警告,2个方法自然降肌酐,远离尿毒症
图片尺寸640x435
泌尿系统 (鲍曼氏囊) bowmans capsule (近端小管) (远端小管) 肾小
图片尺寸1080x810
生理学,尿的生成和排出 proximal convoluted tubule 近曲小管 肾小囊
图片尺寸1080x810
人体解剖生理学实用课件
图片尺寸920x518
④作用于远曲小管远端的药物;③作用于远曲小管近端的药物;②作用于
图片尺寸602x441
近曲小管/远曲小管
图片尺寸670x425
近端小管中的na k 交换是属于钠崩吗?
图片尺寸386x410
近端小管曲部|2|15
图片尺寸220x187
近端小管曲部|2|15
图片尺寸220x187