近端小管直部

病理切片 - 知乎
图片尺寸1322x992
肾小体 肾小囊 肾单位 肾小管 曲部 远 端 小 直部 管 泌尿小管 弓
图片尺寸1080x810
可见髓袢升支粗段所位于的外髓部左右两边分别是近端小管和集合管
图片尺寸2448x2585
近端小管曲部
图片尺寸800x680
近端小管曲部
图片尺寸600x846
近端小管曲部
图片尺寸761x800
组胚实验 近曲小管和远曲小管
图片尺寸1710x1280
近端小管曲部
图片尺寸800x680
肾小管的功能:主要为重吸收近端小管:主要的重吸收部位,绝大部分的
图片尺寸544x220
近端小管曲部
图片尺寸780x694
近端小管曲部
图片尺寸972x600
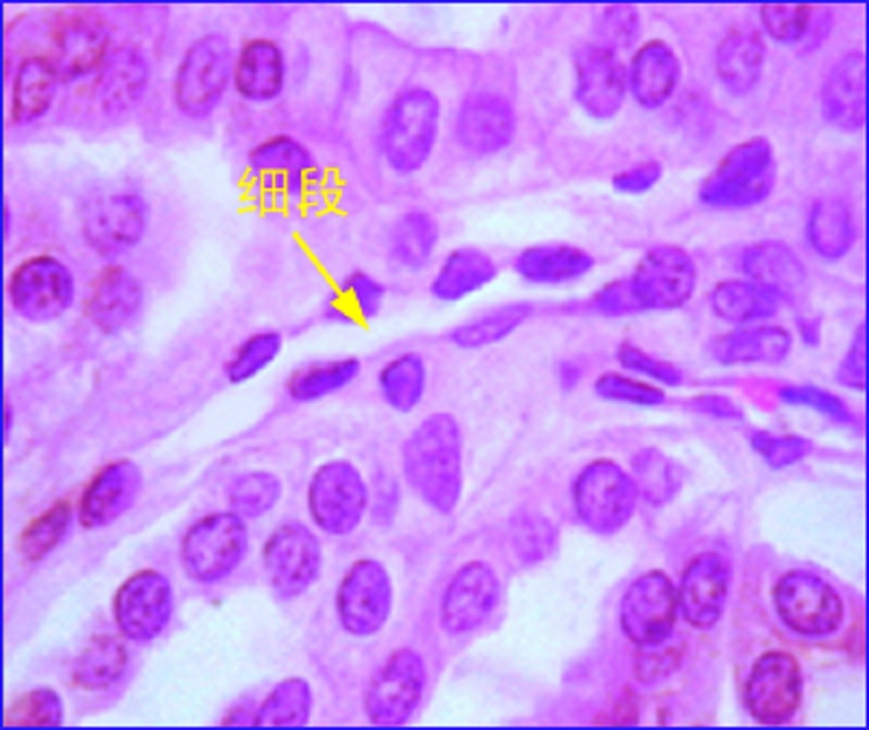
肾小管(renal tubule) 近端小管 (proximal tubule) 肾小管 细段
图片尺寸1080x810
近端小管曲部
图片尺寸800x672
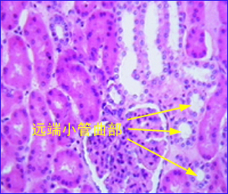
肾单位是肾脏的基本功能单位,由肾小球,肾小囊,近端小管,远端小管等
图片尺寸1070x1397
关于脱水利尿剂
图片尺寸1617x1541
小气道病变有何危害?又该如何检测?7张表格说全了!
图片尺寸596x657
学习笔记94肾脏结构图
图片尺寸1536x2048
p data-id="gnbt1g7qw7">fanconi综合征是近端 a target="_blank"
图片尺寸800x587
近端小管曲部
图片尺寸907x600
④作用于远曲小管远端的药物;③作用于远曲小管近端的药物;②作用于
图片尺寸602x441