透明隔囊肿图片

透明隔囊肿了解其成因症状与治疗方法
图片尺寸1242x1660
透明隔囊肿,有生命危险?
图片尺寸1414x2000
透明隔囊肿
图片尺寸1440x1248
透明隔间腔,verga腔,帆间池位置或囊肿的区分
图片尺寸694x760
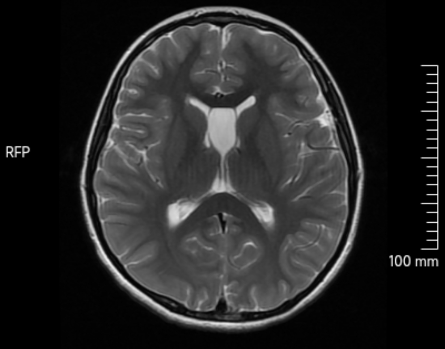
透明隔囊肿
图片尺寸1440x1130
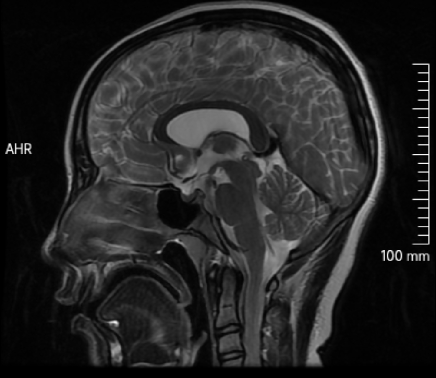
透明隔囊肿
图片尺寸1080x1920
体检发现透明隔间腔,透明隔囊肿怎么办?
图片尺寸1280x1456
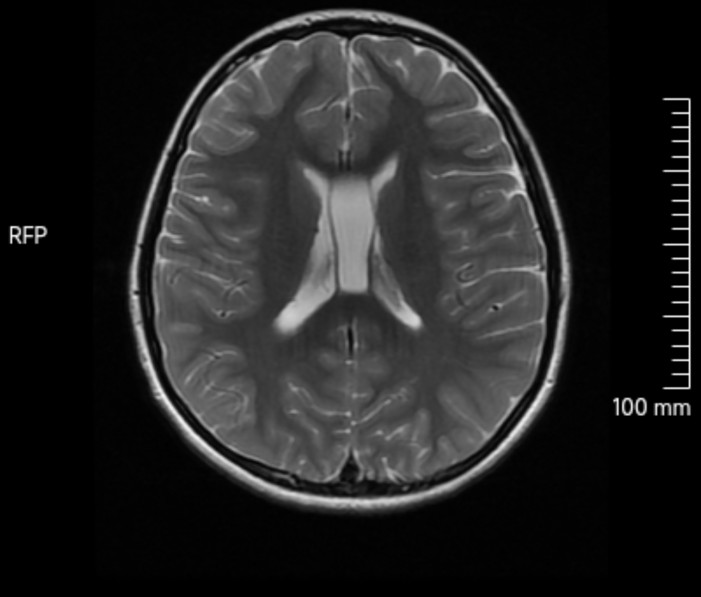
透明隔囊肿
图片尺寸1440x1227
透明隔囊肿
图片尺寸512x512
透明隔间腔,verga腔,帆间池位置或囊肿的区分
图片尺寸634x721
透明隔间腔,verga腔,帆间池位置或囊肿的区分
图片尺寸709x775
脑室镜下透明隔囊肿手术典型病例1
图片尺寸920x1302
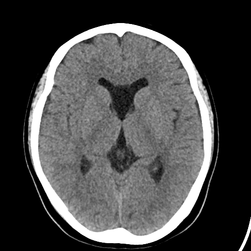
透明隔囊肿ct图片
图片尺寸1242x828
透明隔间腔与透明隔囊肿鉴别及诊断标准
图片尺寸1632x3264
揭秘透明隔囊肿:它到底是什么?
图片尺寸1200x1600
透明隔囊肿是什么?
图片尺寸900x1200
脑内透明隔囊肿是什么意思?
图片尺寸280x300
透明隔间腔,verga腔,帆间池位置或囊肿的区分
图片尺寸640x705
透明隔囊肿,实际上是一种在脑部特定区域
图片尺寸1440x1920
头颅透明层隔腔狭小
图片尺寸912x1784