透明隔间腔图片

透明隔间腔,中间帆腔,vergae腔
图片尺寸1080x1178
透明隔间腔/vergae腔/中间帆腔
图片尺寸958x1128
透明隔间腔,中间帆腔,vergae腔
图片尺寸1080x1466
透明隔间腔,中间帆腔,vergae腔
图片尺寸1080x895
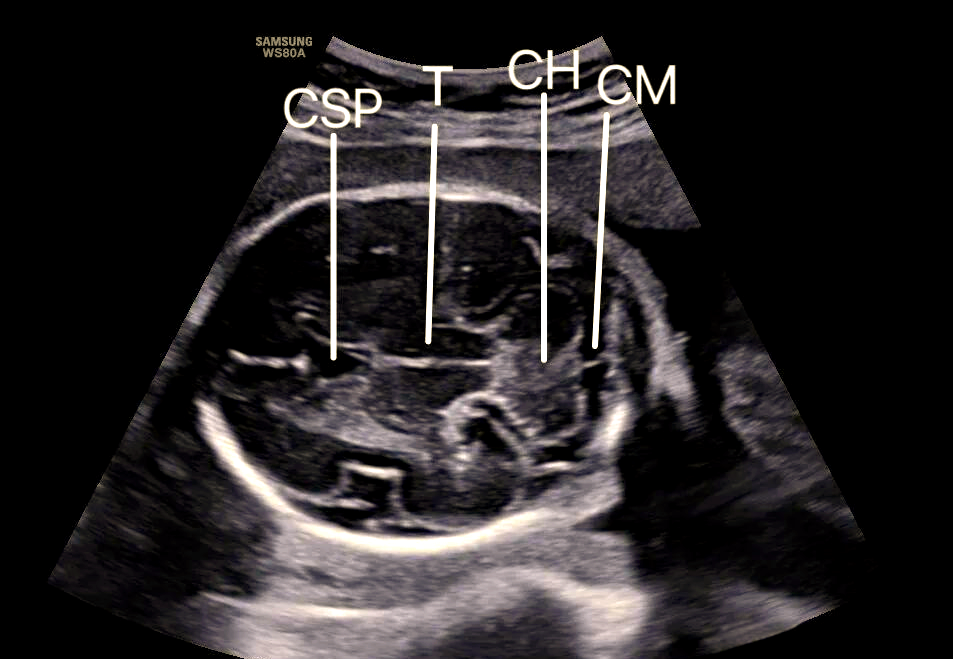
透明隔间腔 透明隔间腔是大脑内一个潜在的腔隙,位于两侧侧脑室之间
图片尺寸1152x1536
透明隔间腔 透明隔间腔是大脑内一个潜在的腔隙,位于两侧侧脑室之间
图片尺寸1152x1536
透明隔间腔是两侧侧脑室之间的间隔结构
图片尺寸559x573
胎儿透明隔腔的超声学习与了解
图片尺寸953x659
透明隔间腔透明隔腔脑透明隔在哪里透明隔间腔在脑什么位置透明隔缺失
图片尺寸3508x2480
头颅透明层隔腔狭小
图片尺寸912x1784
透明隔腔与"第五脑室"的区别及各自特点解析
图片尺寸1136x1457
胎儿透明隔腔的超声学习与了解
图片尺寸915x703
透明隔间腔,vergae腔和透明隔囊肿如何鉴别?
图片尺寸919x649
透明隔间腔,verga腔,帆间池位置或囊肿的区分
图片尺寸640x705
胎儿透明隔腔的超声学习与了解
图片尺寸947x738
透明隔间腔你真的会诊断吗?
图片尺寸640x480
透明隔间腔,verga腔,帆间池位置或囊肿的区分
图片尺寸709x775
透明隔间腔/vergae腔/中间帆腔
图片尺寸889x1126
透明隔间腔,verga腔,帆间池位置或囊肿的区分
图片尺寸634x721
体检发现透明隔间腔,透明隔囊肿怎么办?
图片尺寸1280x1456