邻面龋补牙

病例分享前牙邻面龋的治疗技巧
图片尺寸700x311
一例邻面龋,修补后复发,看看我的修补过程
图片尺寸960x637
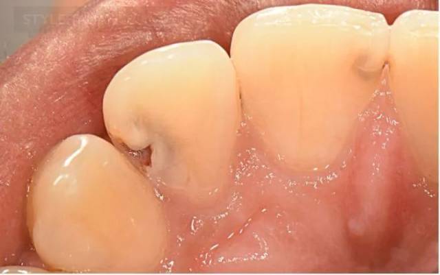
后牙邻面龋坏之即刻嵌体修复
图片尺寸1296x864
后牙邻面龋坏之即刻嵌体修复
图片尺寸1296x864
补牙必须保留自然间隙_口腔修复_口腔修复治疗介绍 - 好大夫在线
图片尺寸2227x1485
1110邻面龋嘉7
图片尺寸640x480
【病例分享】前牙邻面龋的治疗技巧
图片尺寸640x401
前牙邻面龋损修复1例
图片尺寸3621x2902
一例邻面龋,修补后复发,看看我的修补过程
图片尺寸960x637
【树脂直接修复病例】 1 4#邻面洞95 15 颈部楔缺 颌面洞95
图片尺寸967x640
一例邻面龋,修补后复发,看看我的修补过程
图片尺寸960x637
1个牙缝有问题2颗牙齿被牵连邻面龋修补
图片尺寸5000x3333
前牙邻面龋损修复1例
图片尺寸2909x1903
儿童无痛补牙_雅康口腔医院-南京牙齿种植-南京牙齿矫正-南京儿童牙科
图片尺寸227x318
牙医学堂后牙邻面吻合龋的直接修复
图片尺寸962x645
邻面龋坏,隐性龋,如不及时发现,就真的一眼看上去影响美观了!
图片尺寸5085x3072
树脂补牙能维持多久,材料有哪几种要知道
图片尺寸580x303
一例早期的树脂修复病例
图片尺寸1911x2867
仪美口腔-补牙病例(马秀明医师)
图片尺寸750x1000
牙医学堂后牙邻面吻合龋的直接修复
图片尺寸962x645