邻面龋齿x光

姐姐的蛀牙一张片子全看清.邻家姐姐来看牙,进门面色凝重,一看 - 抖音
图片尺寸1861x892
牙缝出现早期邻面龋为什么叫咬合翼片呢?
图片尺寸329x210
左下第7颗牙有邻面龋,医生说大概蛀了20%,不能补了,因为是邻面并且是
图片尺寸1708x1280
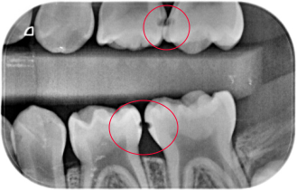
uu们能看出来龋坏吗我怀疑是邻面龋
图片尺寸1080x810
并拍摄了x光片,结果发现,乐乐有5颗牙齿的邻面都患有不同程度的龋坏
图片尺寸1080x548
小心邻面龋,一坏坏俩
图片尺寸791x400
等去除表面的黄斑,准备研磨时发现邻面有趣坏,x光片显示确实有龋坏,把
图片尺寸690x427
健康的牙缝牙缝出现早期邻面龋为什么叫咬合翼片呢?
图片尺寸312x214
劳烦uu们帮我看看龋齿
图片尺寸1080x1440
等去除表面的黄斑,准备研磨时发现邻面有趣坏,x光片显示确实有龋坏,把
图片尺寸690x429
等去除表面的黄斑,准备研磨时发现邻面有趣坏,x光片显示确实有龋坏,把
图片尺寸690x448
前牙邻面龋损修复1例
图片尺寸3621x2902
uu们能看出来龋坏吗我怀疑是邻面龋
图片尺寸1080x810
右上7远中邻合面深龋高嵌体修复
图片尺寸569x735
口内根尖片01用于检测牙齿表面和内部的问题,如龋齿,根尖周炎等.
图片尺寸992x758
复诊时发现保髓的牙恢复的很不错,有问题的是之前就发现的磨牙邻面龋
图片尺寸690x920
请懂牙的朋友帮忙看下我的邻面龋010599
图片尺寸1080x810
求助uu们看看我有没有蛀牙和邻面龋
图片尺寸1080x609
7.22号拔了三颗07,2颗智齿(长得不太好,顶住前面的牙牙了~)1颗蛀
图片尺寸1080x1232
p>我不说你可能都不知道邻面龋有多可怕 br>龋齿就是蛀牙,首先,咱们
图片尺寸1574x2097