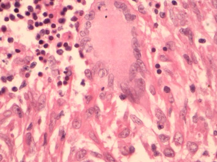
郎罕巨细胞

郎罕巨细胞
图片尺寸709x531
郎罕巨细胞
图片尺寸600x587
肺结核里的朗罕氏巨细胞
图片尺寸500x667
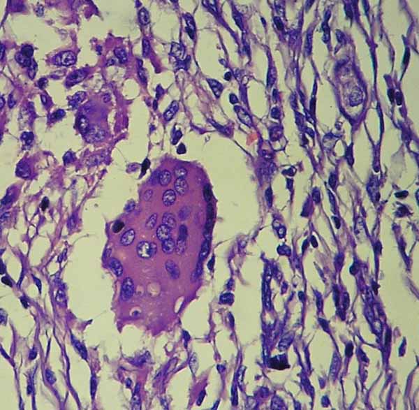
上皮样细胞和多核巨细胞
图片尺寸640x480
郎罕巨细胞
图片尺寸960x720
周围为放射状排列的上皮样细胞,并可见朗汉斯巨细胞掺杂于其中,再
图片尺寸600x535
郎格罕斯细胞增生症
图片尺寸600x450
组织胚胎学课件-皮肤 朗格汉斯细胞
图片尺寸1080x810
上皮样细胞和多核巨细胞
图片尺寸640x464
郎格罕细胞
图片尺寸1518x2145
显微镜下见干酪样坏死,类上皮细胞,郎罕氏巨细胞形成的肉芽肿(如
图片尺寸451x338![图中红色框内所示细胞为 [图]a,中性粒细胞b,朗汉斯巨.](https://i.ecywang.com/upload/1/img2.baidu.com/it/u=3927120653,1113613517&fm=253&fmt=auto&app=138&f=JPEG?w=756&h=500)
图中红色框内所示细胞为 [图]a,中性粒细胞b,朗汉斯巨.
图片尺寸809x535
原始巨核细胞;2.幼稚巨核细胞;3.颗粒巨核细胞;4.
图片尺寸1080x810
病理红蓝铅笔手绘图
图片尺寸1080x1439
显微镜下见干酪样坏死,类上皮细胞,郎罕氏巨细胞形成的肉芽肿(如
图片尺寸450x337
巨核细胞的正常形态
图片尺寸1080x810
吞噬心脏的恶魔——巨细胞性心肌炎
图片尺寸448x551
急性髓系(原巨核细胞)白血病伴t(1;22)(p13;q13); rbm15-mkl1:多发生
图片尺寸1616x1216
裸核型巨核细胞 2.中性杆状核粒细胞
图片尺寸1080x810
此种细胞融合成团,称巨细胞.
图片尺寸504x330