酒精肝的7大症状

医生解释:身体出现3种异常,小心肝脏出问题_酒精性_症状_人体
图片尺寸663x577
酒精性肝硬化:是酒精肝的终末阶段.
图片尺寸1024x763
酒精肝的患者会出现哪些症状
图片尺寸363x266
感染乙肝的肝病面容症状图片
图片尺寸500x565
酒精肝早期发现很重要:7个症状告诉你,该戒酒了!
图片尺寸1080x525
酒精肝的损伤症状的图片
图片尺寸783x500
肝不好,不能吃红薯?建议:想要养肝,这3种食物需少碰
图片尺寸640x424
p>酒精性肝病(alcoholic liver disease)是由于长期大量饮酒导致的
图片尺寸2480x3300
喝酒后,身体若出现6个现象,说明不适合再继续喝酒了,望知晓
图片尺寸640x480
3,酒精肝的末端症状:酒精性肝病的末期基本症状是肝痛,身体虚弱
图片尺寸747x529
7-31 22:08:44 沙发回复寒冰2014-08-01 15:55:25很形象,很直观,肝病
图片尺寸440x360
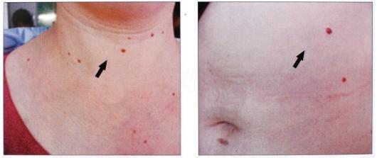
酒精肝患者: 常喝酒要留意身体3个地方变化, 可能你也中招了!
图片尺寸530x223
酒精肝早期有什么症状
图片尺寸1080x1440
酒精肝该如何预防酒精肝的患者吃什么比较好
图片尺寸400x220
酒精肝有哪些反应和常见症状?
图片尺寸400x294
酒精肝症状图片
图片尺寸1242x828
酒瘾大的人,若手上出现3个异常,说明肝已受损,戒酒已刻不容缓
图片尺寸591x370
早期肝硬化的"3大类症状"答案都在脸上,注意观察
图片尺寸395x218
可有一种或多种病因引起,包括病毒性肝炎,酒精性肝炎,非酒精性脂肪肝
图片尺寸640x427
酒精肝如何医治了解病因症状才好有效预防酒精肝
图片尺寸700x450