釉质生长线图片

横纹短,生长线长
图片尺寸750x803
生长线又叫芮氏线(lisfrtzius) 形态纵磨片—牙尖部环行包绕牙尖,近牙
图片尺寸395x176
腿上有生长纹是胖了还是瘦了
图片尺寸468x321
线schrgrli形态落射光观察牙纵磨片,见宽度不等的明暗相间带,在釉质
图片尺寸410x284
釉质|到底-知识百科-川北在线
图片尺寸450x273
牙釉质生长线图片_39健康网_精编内容
图片尺寸1242x828
2018口腔组织病理学考点牙釉质的组织学结构
图片尺寸241x304
2018口腔组织病理学考点:牙釉质的组织学结构
图片尺寸207x296
吉林大学"长春龙"研究有新成果:发现恐龙牙釉质波纹构造的最早记录
图片尺寸700x523
谁知道这是什么东西,都有好几年了,我都不敢穿超
图片尺寸780x1052
生长纹出现时,是不是多锻炼,营养好,是不是能长的快啊 我17男的166
图片尺寸400x300
辛辛苦苦把幼崽奶到六岁,仍难逃灭绝厄运|非洲_新浪新闻
图片尺寸700x368
经过长达三个月的修复,大腿上的生长纹已经淡化了八层_圈子-新氧美容
图片尺寸1280x960
指甲后缘不对称是咋回事可以改善吗
图片尺寸1080x1439
2018口腔组织病理学考点牙釉质的组织学结构
图片尺寸283x180
牙釉质牙本质小管星形胶质细胞蚊子脚肉芽组织荧光图像:荧光c带2y微
图片尺寸575x437
p>生长线(growth line)也称"生长纹".
图片尺寸580x435
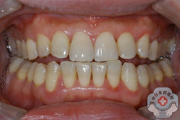
牙齿釉质发育不全树脂美容修复 - 好大夫在线
图片尺寸600x399
第二十一章颜面颈和四肢的发生
图片尺寸496x402
专题:生长纹是什么样子及生长的原因
图片尺寸339x292