重叠牙齿图片

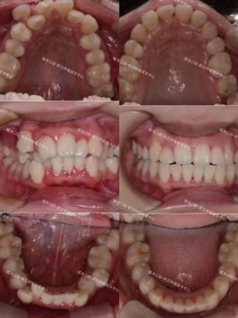
速戳:重叠牙要不要拔 重叠牙即在牙齿生长排列过程中,由于口腔空间不
图片尺寸1200x1600
🦷 双排牙的秘密:原因与危害 🦷
图片尺寸955x607
重叠牙齿图片下排牙齿向内倾斜叠牙上下颚骨咬合错位图片牙齿长歪了
图片尺寸1200x1600
这牙齿还有救吗?牙医都说现在的孩子吃东西太精细了,好多长双重牙的!
图片尺寸557x465
重叠牙,即牙齿排列不整齐,出现重叠或拥挤的现象,不仅影响美观,还
图片尺寸1200x1600
6岁女童吃得太精细长出"双排牙"!
图片尺寸720x1278
换牙期做好牙齿干预的重要性
图片尺寸720x959
两颗牙齿长重叠了,这可能是乳牙滞留,多生牙或者牙齿畸形造成的
图片尺寸1038x1218
✅家长对孩子的牙齿问题发现得很及时,带她早早地来做了早期干预
图片尺寸767x1024
两颗牙齿重叠图片
图片尺寸743x495
6岁娃长出双排牙,医生提醒:有这些习惯赶紧改
图片尺寸1006x1380
多生牙的小知识
图片尺寸1600x1067
儿童重叠牙图片,儿童牙齿错位图片
图片尺寸1343x915
儿童牙齿门牙畸形
图片尺寸750x622
前门牙.虽然你们关心不一般,超越到重叠情
图片尺寸720x960
是一种罕见的牙齿发育异常,表现为口腔内恒牙数量
图片尺寸684x508
多生牙虎牙和其他牙重叠
图片尺寸2048x1539
两颗牙齿长重叠了,这可能是乳牙滞留,多生牙或者牙齿畸形造成的
图片尺寸924x1202
民间叫它"双排牙""连体牙",其实在牙齿发育期
图片尺寸1371x2048
世界奇迹双重牙
图片尺寸1480x818