金属矫正 钢丝

埃蒙迪 不锈钢正畸丝/不锈钢方丝(方圆形/弓形1)10*1
图片尺寸1080x1080
牙科超弹型矫形丝镍钛合金牙齿矫形丝方丝圆丝齿科正畸矫正丝
图片尺寸750x750
送给所有戴钢丝牙套的朋友
图片尺寸1080x543
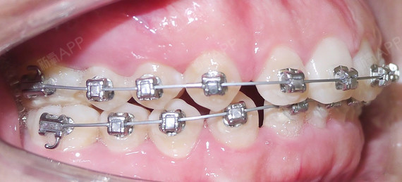
正畸弓丝
图片尺寸1000x909
牙齿矫正不就是戴几根铁丝,为什么不能自己箍?
图片尺寸570x259
钢丝牙套多少钱钢丝牙套是指由金属托槽和钢丝等组成的一种牙齿矫正
图片尺寸420x230
换牙期矫正治疗中的点点滴滴
图片尺寸750x402
戴上了金属牙套
图片尺寸800x800
不锈钢牙齿牙弓线正畸材料
图片尺寸1500x1500
嵌甲矫正专用钢丝0.5不锈钢丝钢丝欧米茄钳子专用钢丝
图片尺寸400x400
金属托槽矫正
图片尺寸570x294
正畸用的圆钢丝示意图
图片尺寸600x367
深覆合,嘴凸,露龈笑等不拔牙复杂病例,通常使用钢丝金属矫正器会更
图片尺寸679x385
金属矫正 钢丝知识干货整理
图片尺寸426x522
牙科记忆型热激活镍钛牙科结扎丝正正畸弓丝圆丝方丝矫形丝
图片尺寸750x601
隐适美比钢丝效果好?别傻了效果是一样的
图片尺寸654x471
一样带钢丝金属矫正和陶瓷矫正有什么区别矫牙选择哪款更好
图片尺寸1023x731
口腔资讯 - 牙齿矫正网
图片尺寸590x375
金属托槽矫正
图片尺寸500x216
现已基本被改进的自锁金属托槽取代易造成龋齿,且钢丝容易划破嘴唇,不
图片尺寸511x302