钩虫卵大小

🔍 钩虫卵与蛔虫卵的辨识指南 🔍
图片尺寸730x1030
显微镜下的钩虫世界:虫卵与感染揭秘
图片尺寸1164x1050
🔍 探索寄生虫世界:钩虫卵的奥秘 🐛
图片尺寸1080x1409
二,第二,三日的观察显示,钩虫卵的大小约为
图片尺寸1080x1041
🔍 🔬 钩虫卵,这些微小的生命体,形状为椭圆形,大小在57
图片尺寸1080x1410
今天在镜下看到千年难遇的钩虫卵💩
图片尺寸1280x959
揭秘:一颗不典型钩虫卵引发的"血案"
图片尺寸1000x999
图4 含4-8个卵细胞的钩虫卵 ×400图5 多卵细胞期钩虫卵 ×400图6
图片尺寸960x850
显示,钩虫卵的大小约为(56~76)μm×
图片尺寸1080x1039
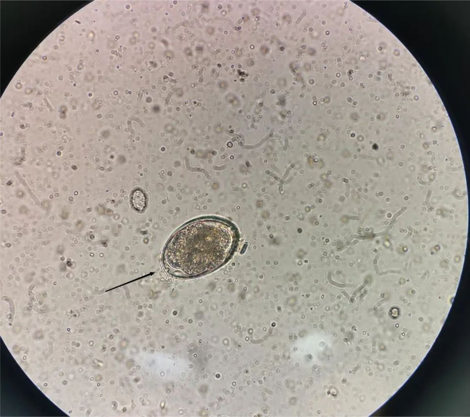
钩虫卵:椭圆形,无色透明,大小约
图片尺寸191x300
💩粪便常规检查:钩虫卵
图片尺寸1080x1050
揭秘:一颗不典型钩虫卵引发的"血案"
图片尺寸1000x1000
二,第二,三日的观察显示,钩虫卵的大小约为
图片尺寸1080x1024
图片尺寸1080x1440
蛲虫卵的形态与感染途径详解
图片尺寸1080x1498
广西医院如何分辨真假"元凶"钩虫卵
图片尺寸519x663
💩粪便常规检查:钩虫卵
图片尺寸1080x1050
贵阳奈斯宠医带你认识犬钩虫虫卵.整体呈椭圆形,两头钝圆,卵壳
图片尺寸1918x1438
钩虫卵呈椭圆形,大小约为57
图片尺寸800x593
钩虫病感染:从虫卵到钩蚴的完整培养历程
图片尺寸1080x1038