银屑病病理

jamadermatol银屑病组织病理学诊断的视觉线索
图片尺寸321x457
寻常型银屑病组织病理
图片尺寸1000x679
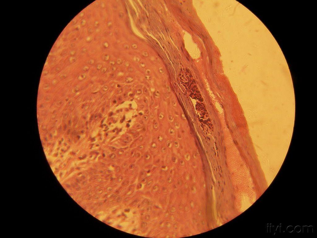
门诊病例13(银屑病)
图片尺寸1024x768
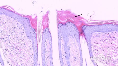
银屑病有哪些不典型病理表现
图片尺寸962x520
寻常型银屑病一例
图片尺寸640x480
汪博士医学讲堂牛皮癣不是癣
图片尺寸509x359
银屑病病症解析图医学器官解剖插图
图片尺寸539x812
门诊病例13(银屑病)
图片尺寸1024x768
进展期银屑病
图片尺寸640x427
小鼠银屑病皮肤切片
图片尺寸640x480
银屑病 - 皮肤病理 - 91360病理论坛
图片尺寸404x231
带你3分钟认识银屑病(牛皮癣)
图片尺寸1280x1280
银屑病皮肤病理观察(baker评分)
图片尺寸500x283
晒晒太阳就能治银屑病吗
图片尺寸693x551
银屑病皮肤病理观察(baker评分)
图片尺寸500x283
血清淀粉样蛋白a在寻常型银屑病皮损组织中的表达
图片尺寸934x403
什么时候需要用商业险 银屑病商业险可以用吗
图片尺寸320x239
根据银屑病的临床表现和病理特征,可分为四种类型:普通型,脓疱型,关节
图片尺寸445x432
银屑病皮肤病理观察(baker评分)
图片尺寸500x283
皮下注射精蛋白生物合成人胰岛素引起注射部位银屑病
图片尺寸975x420