锁颌是什么

什么是锁颌?
图片尺寸480x640
牙齿锁颌是什么意思
图片尺寸1080x1339
常被人忽视的错颌畸形——后牙锁颌
图片尺寸448x335
正畸病例------一侧后牙锁颌
图片尺寸640x426
所谓锁颌,就是指上下后牙处于锁结状态,上下牙齿的侧面相接触,而咬合
图片尺寸690x244
锁颌
图片尺寸1181x1181
【关于锁颌】_牙颌畸形_牙颌畸形介绍 - 好大夫在线
图片尺寸771x383
p data-id="gnwt9wlln0">锁颌是后牙的一种 a target="_blank" href=
图片尺寸268x169
锁颌的危害
图片尺寸768x480
锁颌如何矫正?
图片尺寸1284x1712
正畸医生必备技能之开锁027171
图片尺寸690x920
8570216793
图片尺寸2144x1424
正畸病例------一侧后牙锁颌
图片尺寸640x426
有一种错颌畸形叫锁颌,你知道吗?_牙齿
图片尺寸500x329
你的牙没缺没烂就是嚼不动有可能是后牙锁合在搞事情
图片尺寸829x548
我的问题有深覆颌深覆盖锁颌骨性和牙性龅牙治疗:单纯_圈子-新氧美容
图片尺寸570x790
锁颌?
图片尺寸1280x906
③由于锁颌,对一些易感者,易诱发颞下颌关节疾患;②由于锁颌,可导致
图片尺寸690x231
什么是锁合锁合如何解除
图片尺寸690x462
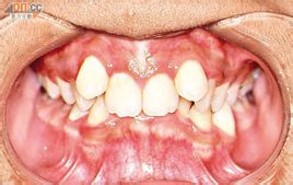
锁合牙图片
图片尺寸1280x854