锯齿状腺瘤

医学美图锯齿状腺瘤的四个内镜特点
图片尺寸844x1508
无蒂锯齿状腺瘤病理图谱_医学界-助力医生临床决策和职业成长
图片尺寸1077x461
肠镜下nbi诊断锯齿状腺瘤 - 好大夫在线
图片尺寸1072x748
结肠广基锯齿状腺瘤
图片尺寸2592x1944
无蒂锯齿状腺瘤 / 息肉发生不典型增生或癌变的内镜特征 - 好大夫在线
图片尺寸400x876![[202105综述]结直肠锯齿状病变的癌变机制及内镜诊断研究进展](https://i.ecywang.com/upload/1/img0.baidu.com/it/u=3730864540,1237595556&fm=253&fmt=auto&app=138&f=JPEG?w=503&h=500)
[202105综述]结直肠锯齿状病变的癌变机制及内镜诊断研究进展
图片尺寸606x602
龚伟教授无蒂锯齿状腺瘤息肉ssap内镜诊断讲座及答全国网友提问学习
图片尺寸605x183
结直肠癌筛查:锯齿状病变的重要性 - 好大夫在线
图片尺寸475x370
结肠混合性腺瘤-锯齿状息肉
图片尺寸2592x1944
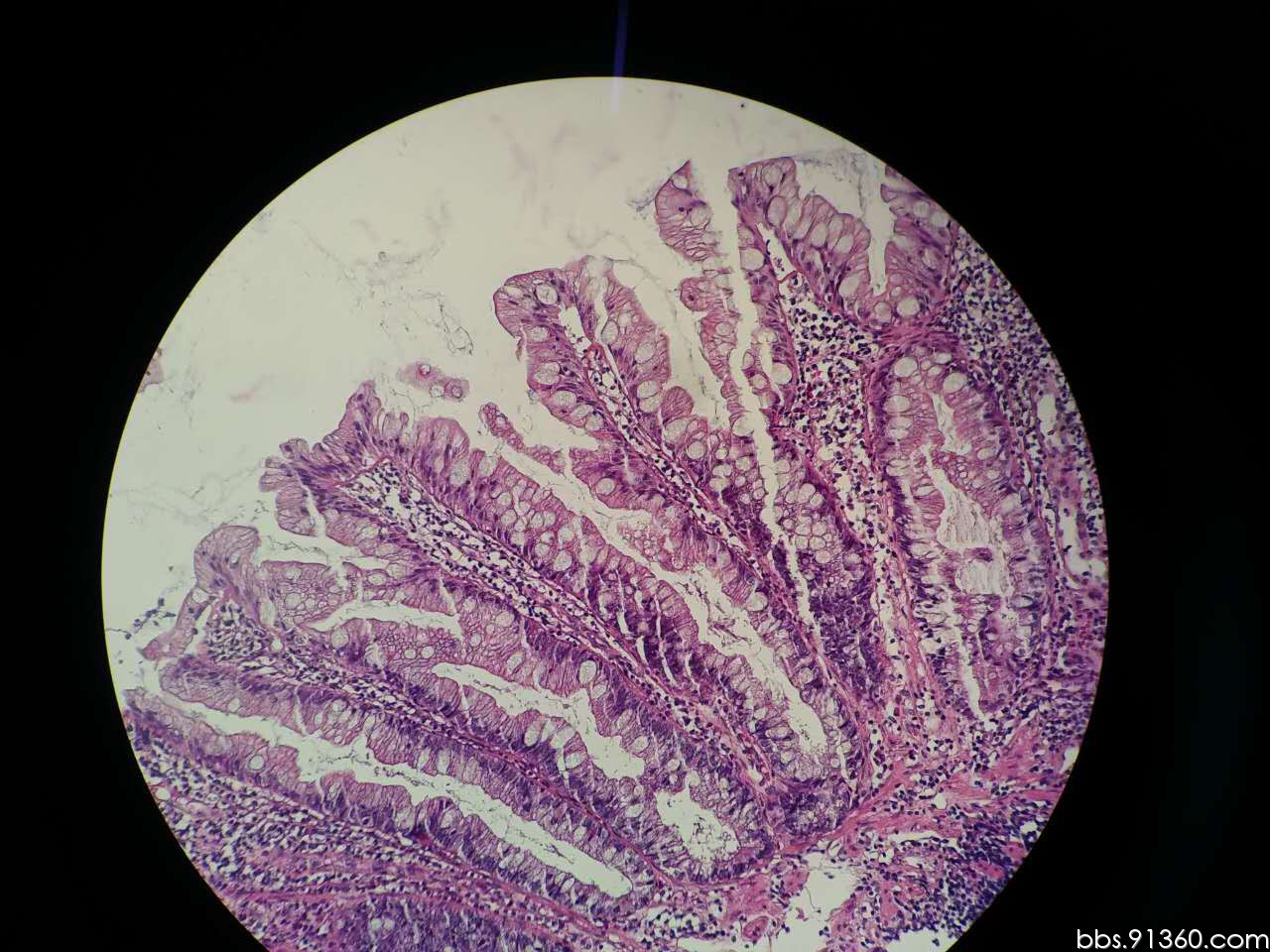
无蒂锯齿状腺瘤2016.11.9【91360消化沙龙病例192】
图片尺寸1280x960
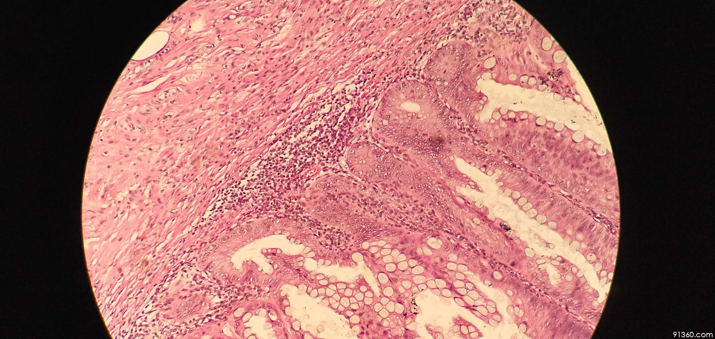
锯齿状腺瘤病例讨论2019.06.02【91360消化病理沙龙病例讨论422】
图片尺寸2274x1080
病例分享|锯齿状息肉与无蒂锯齿状息肉内镜与病理
图片尺寸641x557
大肠锯齿状腺瘤7例报告pdf2页
图片尺寸792x1118
消化客广基锯齿状腺瘤息肉的前半生
图片尺寸800x450
锯齿状腺瘤值得重视,与结肠间期癌密切相关
图片尺寸640x225
锯齿状腺瘤息肉从此每年都要喝和爽了
图片尺寸918x1224
无蒂锯齿状腺瘤2016.11.9【91360消化沙龙病例192】
图片尺寸1280x960
病理医师学内镜之无蒂锯齿状腺瘤
图片尺寸455x696
锯齿状腺瘤转化为结肠腺癌的内镜观察 - 好大夫在线
图片尺寸689x1013
医学美图:锯齿状息肉不同亚型的组织学表现
图片尺寸571x393