镶牙和种植牙

如果是镶牙种植牙与烤瓷牙的区别在哪里哪种的效果好维持的时间长而且
图片尺寸611x747
北京十佳口腔医院种植牙价格对比,北京种牙没那么贵!
图片尺寸500x600
70岁老人适合种牙还是镶牙详解镶牙和种植牙有什么区别哪个好
图片尺寸600x400
拔牙后镶牙好还是种植牙好?镶牙和种牙的区别是什么?
图片尺寸500x614
传统镶牙vs种植牙
图片尺寸1080x810
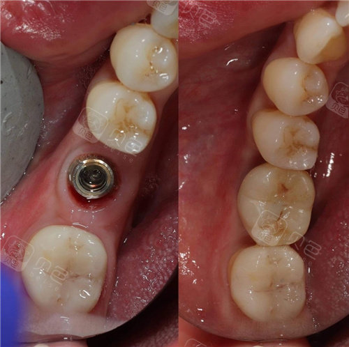
种植牙手术对比案例
图片尺寸252x331
一颗种植牙能用多久3000元的种植牙也能用上20年
图片尺寸500x600
2021通辽口腔医院排名公布,牙齿种植与矫正技术到位口碑好!
图片尺寸500x498
在北京做种植牙会很痛苦吗
图片尺寸439x232
韩系种植牙和其他进口种植应该怎么选价格相差多少
图片尺寸500x300
镶牙的种类有哪些怎样选择适合自己的镶牙方式
图片尺寸544x221
烟台种植牙好的牙科医院排名徳韩种一颗牙价格三千元起
图片尺寸500x390
苏州镶牙疼吗?牙博士靠诉你
图片尺寸895x300
三分钟带你了解种植牙与烤瓷牙的区别
图片尺寸640x760
种植牙和镶牙,到底选哪个?
图片尺寸800x404
其实从医学角度来讲,镶牙和种植牙的选择不应该由我们的主观意识决定
图片尺寸500x193
种植牙与镶牙的利弊
图片尺寸640x480
门牙缺失种牙好还是镶牙好这有种植牙和镶牙的区别图解
图片尺寸501x506
镶牙过程图解 (17)_有来医生
图片尺寸542x465
3,较完美的镶牙方式:种植牙
图片尺寸600x400