镶牙图片前后对比

补牙前后对比
图片尺寸500x394
苏州种植牙比镶牙的优点是什么
图片尺寸386x361
珠海镶牙医院哪里比较好在珠海镶牙多少钱一个
图片尺寸400x506
种植牙前后对比图
图片尺寸600x450
传统树脂补牙前后对比效果,看得见的美,还你自信笑容.#一口好 - 抖音
图片尺寸1080x1440
全瓷牙修复前后对比
图片尺寸500x468
苏州镶牙疼吗?牙博士靠诉你
图片尺寸895x300
镶牙对比照
图片尺寸300x435
种植牙前后对比照片
图片尺寸500x467
镶牙的种类有哪些怎样选择适合自己的镶牙方式
图片尺寸544x221
种植牙前后对比
图片尺寸500x500
种植牙修复前后对比
图片尺寸450x346
北京美年口腔黄俊淋主任单颗牙缺失种植牙前后对比效果
图片尺寸598x182
瓷嵌体修复前后对比
图片尺寸514x443
瓷嵌体修复前后对比
图片尺寸557x462
蛀牙补牙
图片尺寸512x176
70岁老人适合种牙还是装假牙,全口镶牙,种植牙价格是多少
图片尺寸500x293
龅牙矫正前后对比图
图片尺寸500x180
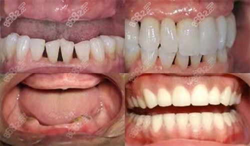
镶牙前后对比图
图片尺寸498x204
镶牙好还是种牙好烟台口腔医生给你正解
图片尺寸500x193