镶门牙效果照片

门牙美学修复图片
图片尺寸600x336
武汉仁爱口腔全瓷牙效果如何能用多久有什么优势
图片尺寸866x1776
镶牙齿图片
图片尺寸2382x1613
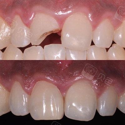
左边的门牙做了全瓷牙,效果很棒呀……大家看得出来是_圈子-新氧美容
图片尺寸570x428
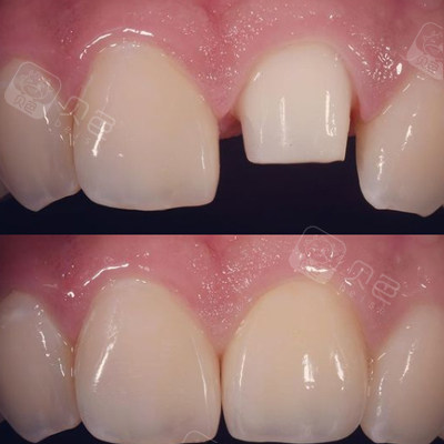
门牙修复_全瓷贴面_美妆_医美整形
图片尺寸1080x1440
门牙全瓷冠修复
图片尺寸400x400
门牙建议镶牙不要种牙
图片尺寸500x294
镶牙花钱少用着也还行!
图片尺寸500x351
镶牙什么材料好? - 好大夫在线
图片尺寸1600x1066
牙钻一个得多少钱呀 镶在哪个牙上好看
图片尺寸1024x1004
门牙修复
图片尺寸400x400
2008年做的门牙四颗烤瓷牙
图片尺寸570x760
全瓷牙门牙做一颗是无法和旁边的牙颜色一致的么? - 知乎
图片尺寸3600x2400
镶一送一.
图片尺寸750x563
刚刚做了两个前门牙的联体烤瓷牙,氧化铝全瓷,感觉烤瓷和牙龈有缝隙
图片尺寸1401x937
大门牙矫正多少钱(大门牙龅牙齿矫正多少钱)
图片尺寸1707x1280
两年前给门牙做了烤瓷冠,现在牙龈出现了黑线,其中有_圈子-新氧美容
图片尺寸570x570
门牙缺失四颗做全瓷牙连冠真实照片24岁帅小伙就此诞生
图片尺寸782x387
门牙太丑太大,坏了也不用怕,二氧化锆全瓷牙来帮您!
图片尺寸681x540
门牙做烤瓷牙效果很不错
图片尺寸910x910