门牙全瓷牙真人图片

全瓷牙门牙
图片尺寸540x718
左边的门牙做了全瓷牙,效果很棒呀……大家看得出来是_圈子-新氧美容
图片尺寸570x428
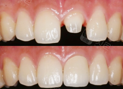
全瓷冠 超薄贴面美学修复一例 - 好大夫在线
图片尺寸4928x3264
门牙全瓷牙修复
图片尺寸400x290
牙医日常 门牙做好了,美就在一瞬间!#全瓷牙 - 抖音
图片尺寸1920x1440
全瓷牙
图片尺寸4272x2848
修复案例分享全瓷冠修复门牙缝隙
图片尺寸720x983
美牙##通辽美牙##霍林河美牙##内蒙美牙##全瓷贴面##全瓷牙##小白
图片尺寸690x1496
经典案例:全瓷修复
图片尺寸2592x1936
门牙做了全瓷牙但有人劝我做种植牙 我佛了
图片尺寸500x438
全瓷牙
图片尺寸5184x3456
深圳启飞齿科/口腔门诊部/铸就精品齿科
图片尺寸2592x1936
重度四环素,遮色问题一直是难点.
图片尺寸570x1379
刚做的全瓷牙,门牙连着的六颗,感觉很失败,有一个牙缝比较大,今天中午
图片尺寸720x540
所以 备牙时尽量减少唇侧切端预备量,劲部按全瓷冠标准 制备,使牙体
图片尺寸4752x3168
门牙太丑太大,坏了也不用怕,二氧化锆全瓷牙来帮您!
图片尺寸681x540
美容全瓷牙制作完美的呈现
图片尺寸938x1081
全瓷牙门牙做一颗是无法和旁边的牙颜色一致的么? - 知乎
图片尺寸3600x2400
门牙缝隙宽还牙齿发黄就去做了美加牙贴面,一年后来谈谈我的真实感受
图片尺寸500x503
台中牙医推荐 侧门牙假牙重做全瓷冠合并牙齿居家美白疗程 实际案例
图片尺寸600x399