门牙单颗

单颗门牙美学个性化修复
图片尺寸1080x1040
我的门牙比较大 有的时候就感觉嘴巴很难合上,想问问这种情况能去牙科
图片尺寸1024x768
门牙缺失一颗做隐形义齿好吗看单颗隐形牙的优缺点就知道了
图片尺寸698x375
27岁 牙齿主要门牙这颗有点歪 有必要去整牙吗 一直在纠结 现在还
图片尺寸500x375
求助贴崽崽门牙是钙化不全吗
图片尺寸1080x1439
单颗门牙修复!
图片尺寸750x1050
门牙缺失一颗做隐形义齿好吗先看单颗隐形牙的优缺点再说
图片尺寸960x960
门牙骨头很少怎么种植牙?
图片尺寸2048x1360
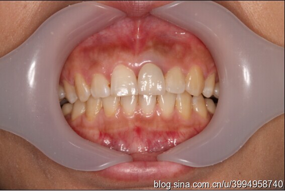
单颗前门牙全瓷修复仿真病例
图片尺寸569x377
门牙蛀了
图片尺寸1279x959
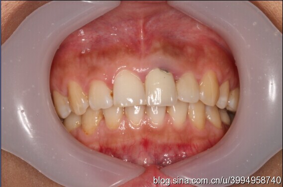
单颗前门牙全瓷修复仿真病例
图片尺寸570x380
前六颗门牙基本平的,如果带牙套用拔牙么?
图片尺寸768x1024
单颗前门牙全瓷修复仿真病例
图片尺寸567x379
儿童的早期矫治门牙的间隙和反合
图片尺寸1280x960
三年前做了上面门牙四颗烤瓷牙,全瓷的,而且我烤瓷牙里面自己的牙都
图片尺寸768x1024
单颗前门牙全瓷修复仿真病例
图片尺寸572x378
你好,赵医生,本人25岁女,两颗门牙之间有大缝,大约两个一元硬币那么宽
图片尺寸480x307
门牙
图片尺寸504x382![【病例讨论】门牙2颗,树脂修复. [病例帖]](https://i.ecywang.com/upload/1/img1.baidu.com/it/u=2342126016,1128975776&fm=253&fmt=auto&app=138&f=JPEG?w=500&h=282)
【病例讨论】门牙2颗,树脂修复. [病例帖]
图片尺寸639x360
不想去牙医院想在网上买个牙套但不知道门牙那颗短的该怎么办?
图片尺寸876x499