门牙形状图

12岁孩子门牙是兔子牙中间有缝隙,要矫正吗?
图片尺寸728x1296
十八岁,男,我的两颗门牙还能矫正吗,如果能,怎么矫正,费用和时间大概
图片尺寸864x1152
我这个门牙现在要如何打算呢?
图片尺寸768x1024
门牙牙根图片
图片尺寸300x300
门牙
图片尺寸450x352
我门牙有一个有点歪啊 就是裂(第三声)到后面去了一点
图片尺寸589x471
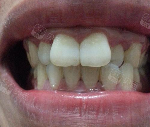
门牙外凸示意图
图片尺寸500x314
我这门牙是不是外凸了
图片尺寸695x445
门牙牙缝大
图片尺寸3282x3456
门牙磕坏了一块,牙根没有受损,好丑该怎么办?
图片尺寸600x329
问:门牙中间有缝怎么矫正?
图片尺寸375x500
门牙形态修复 贴完瓷贴面会不会后悔?
图片尺寸750x492
门牙磨损具有哪些危害
图片尺寸640x449
一例门牙有缝影响美观的贴面 牙冠修复病例
图片尺寸1280x960
门牙外凸想做牙齿矫正,广州这家医院9000元就能做!
图片尺寸500x425
门牙小时候摔缺了一小块,可以补回吗?有图
图片尺寸450x226
门牙太大
图片尺寸500x299
门牙缺失女孩,如何找回灿烂笑容?
图片尺寸1936x1296
门牙过大二次矫正咬合非常不正常
图片尺寸1318x878
块之间上门牙照片
图片尺寸387x300