门牙镶牙前后图片

镶牙前后对比图
图片尺寸498x204
张阿姨镶牙前后对比
图片尺寸524x210
门牙种植前后对比
图片尺寸500x500
缺失多颗牙齿,怎么镶牙?
图片尺寸500x196
深圳拜尔口腔门牙种植牙前后对比照
图片尺寸500x232
门牙种植前后对比案例
图片尺寸500x161
牙齿贴面到底好不好我来告诉你大门牙做瓷贴面多少钱
图片尺寸500x373
门牙缺了一颗镶牙好还是种植牙好花费6000补一颗牙是不是上当了
图片尺寸500x271
德国费亚丹种植牙修复门牙缺失前后案例对比图片
图片尺寸600x269
我在南京美奥用树脂补门牙前后对比效果,我妈以为我换牙了!
图片尺寸400x400
杭州镶牙多少钱一颗-口腔健康网
图片尺寸450x241
60岁老人种牙好还是镶牙好听听吉阿姨做种植牙和镶牙之后的真实感受
图片尺寸600x178
镶牙案列
图片尺寸518x174
烤瓷牙案例_整容日记_整形前后对比照_【经典整形网】
图片尺寸300x214
自锁托槽矫正龅牙案例
图片尺寸316x400
门牙缺角想要做贴面,瓷贴面好还是树脂贴面好,知道的来唠唠区别
图片尺寸377x500
都说门牙有缝千万别做树脂牙齿贴面但我做完后觉得效果还不错
图片尺寸896x363
谈谈我在西安海涛口腔医院种植门牙的真实感受
图片尺寸500x233
门牙建议镶牙不要种牙揭秘上门牙为什么不建议种植
图片尺寸500x500
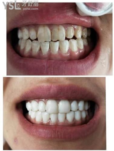
镶牙前后对比照
图片尺寸500x201