门牙龋齿修复

一例门牙树脂修复病例--张杨_kq88口腔内科网
图片尺寸620x386
门牙龋坏的美学修复
图片尺寸1280x720
树脂补门牙缝前后图片
图片尺寸653x436
一例门牙树脂修复病例--张杨_kq88口腔内科网
图片尺寸620x370
前牙6颗大面积龋坏蛀牙,树脂补牙,临时修复,一个多小时完成 - 抖音
图片尺寸888x1920
单颗门牙美学个性化修复
图片尺寸1080x1040
门牙龋坏树脂补牙门牙龋坏影响美观,那就用树脂直接补_圈子-新氧美容
图片尺寸1284x1284
门牙修复
图片尺寸5568x3712
前牙龋齿 美容修复 一例 - 好大夫在线
图片尺寸1024x683
"可乐牙"修复记
图片尺寸750x1041
门牙树脂充填,求批正
图片尺寸640x480
门牙外伤修复治疗
图片尺寸4743x1478
门牙缺损修复一例 - 好大夫在线
图片尺寸1440x1080
前牙全瓷固定桥修复
图片尺寸1600x1066
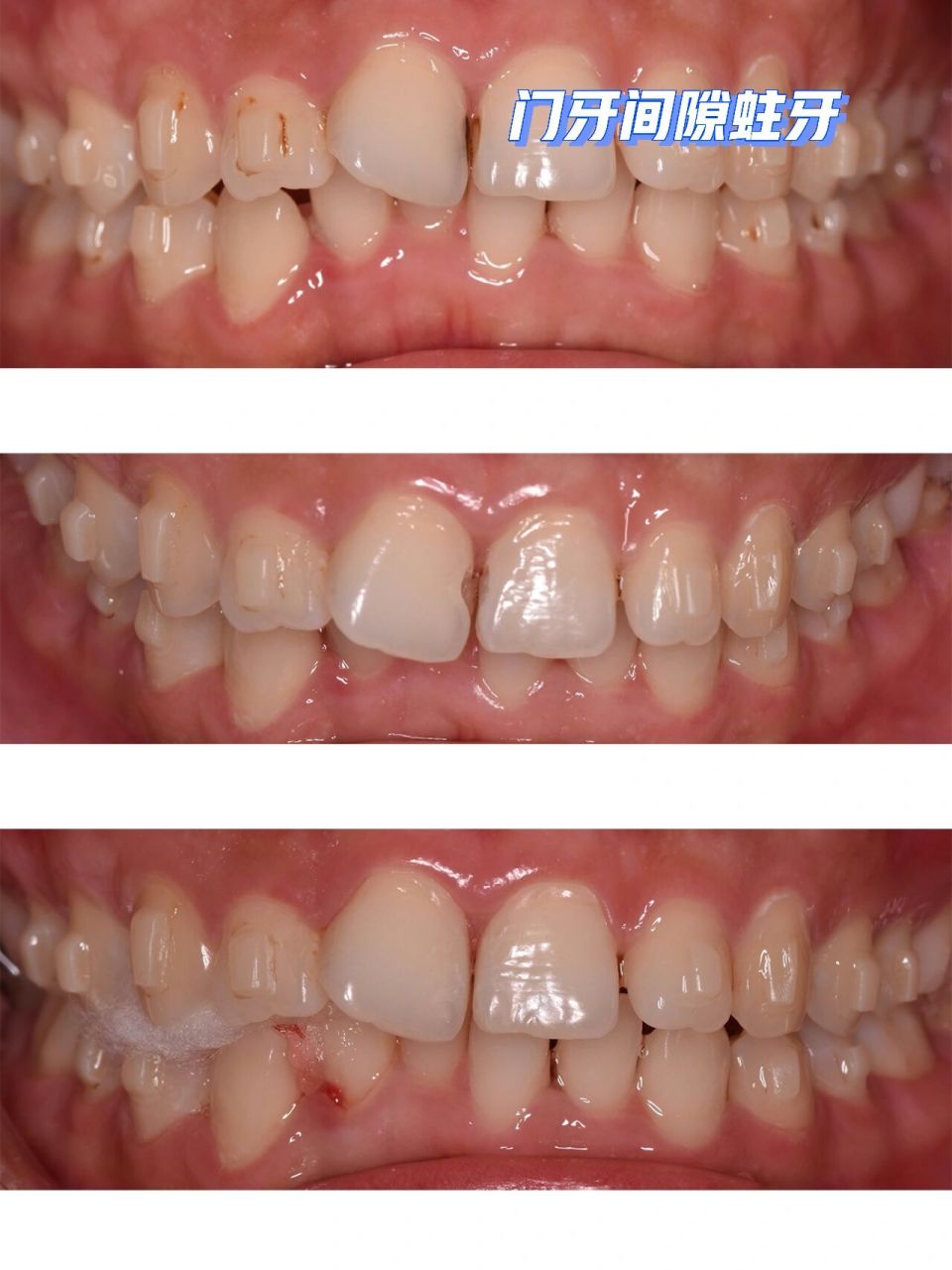
门牙蛀牙,轻修复
图片尺寸960x1280
上前牙贴面修复
图片尺寸640x426
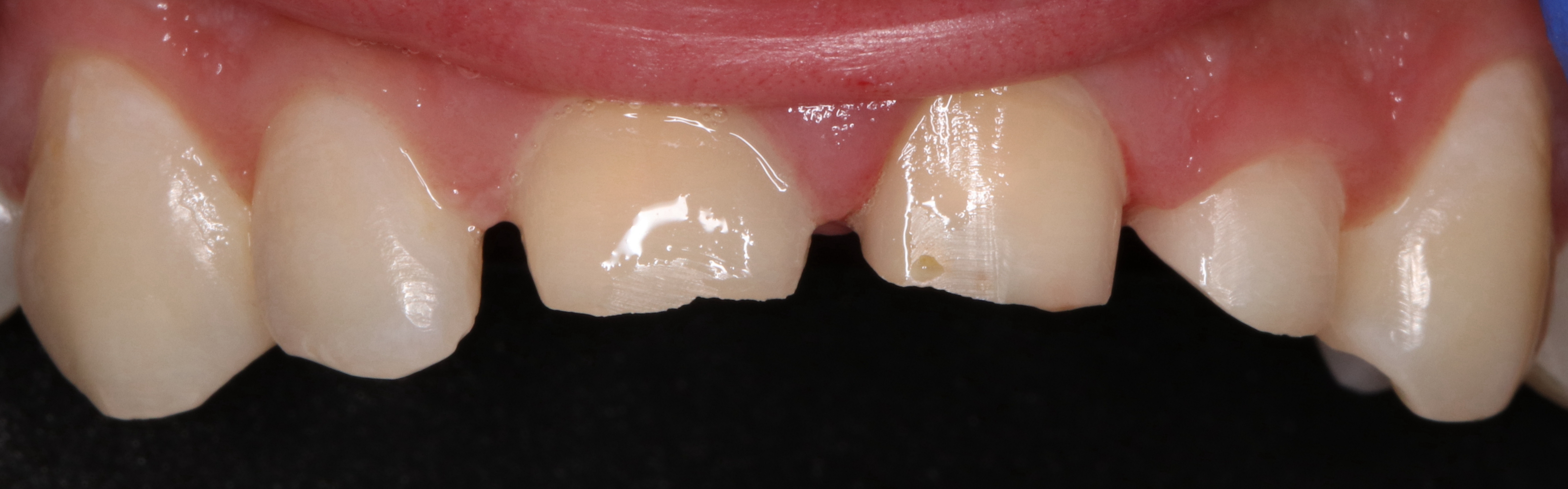
门牙邻面龋修复前后
图片尺寸500x500
白大夫牙医07|门牙修复——一次完成73_牙医_补牙_蛀牙_罗马自由
图片尺寸1080x1080
门牙龋齿治疗对比图2.png
图片尺寸534x308
一例门牙外伤冠折烤瓷修复病例
图片尺寸640x1440