门静脉CT

tips手术成功治愈门静脉及肠系膜静脉全程血栓患者
图片尺寸776x636
门静脉
图片尺寸1200x1200
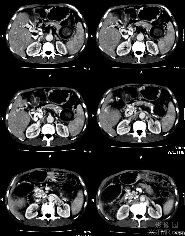
术前门静脉系统ct图
图片尺寸2000x2667
暨国家卫健委外周血管介入培训项目"门静脉高压tips治疗技术专项能力"
图片尺寸1080x857
【共享】在ct上判断门脉高压的方法(附图)
图片尺寸640x960
图示:增强ct术后6天复查,肝内外门静脉完全恢复正常血流充盈
图片尺寸746x629
请教ct对肝门静脉血栓敏感吗
图片尺寸512x512
增强ct门静脉期可见门静脉血流通畅
图片尺寸1599x1199
全景式解码门静脉血栓与门静脉高压
图片尺寸600x602
太原市人民医院首例门静脉cta顺利完成
图片尺寸1620x1620
腹部ct检查诊为门静脉血栓
图片尺寸2200x1650
我院成功开展邵阳地区首例年龄最小体重最轻ct门静脉血管造影成像技术
图片尺寸708x533
术前门静脉系统ct三维重建图
图片尺寸2000x2667
腹部ct提示肝门部门静脉结构紊乱,大量侧支血管,巨脾
图片尺寸750x1000
肝门静脉左支角部断层面所示,标注为2的解剖结构是
图片尺寸372x264
我院放射科成功开展首例门静脉ct血管造影ctv
图片尺寸600x600
人体内的"都江堰工程"—经颈内静脉门腔分流术(术者:徐燕能,周道益
图片尺寸4032x3024
门静脉高压分型及影像学特征
图片尺寸640x480
门静脉海绵样变性
图片尺寸624x797
请教ct对肝门静脉血栓敏感吗
图片尺寸512x512