闭合性颅脑损伤图片

重型闭合性颅脑损伤复杂性颅骨骨折一例颅脑创伤神经重症病例周刊150
图片尺寸964x576
重型闭合性颅脑损伤复杂性颅骨骨折一例颅脑创伤神经重症病例周刊150
图片尺寸883x505
重型闭合性颅脑损伤复杂性颅骨骨折一例颅脑创伤神经重症病例周刊150
图片尺寸1242x1850
我院保守治疗一名重型闭合性颅脑损伤患者
图片尺寸500x375
重型闭合性颅脑损伤复杂性颅骨骨折一例颅脑创伤神经重症病例周刊150
图片尺寸811x502
分享重型颅脑损伤双侧去骨瓣病例1则
图片尺寸4032x3024
监测有道丨头皮钝挫伤预后不佳再次切开缝合病例1例颅脑创伤神经重症
图片尺寸599x451
重型闭合性颅脑损伤复杂性颅骨骨折一例颅脑创伤神经重症病例周刊150
图片尺寸1476x484
病例介绍:中年女性患者,二月前因重型颅脑损伤行双侧开颅手术,现住院
图片尺寸1811x1199
重型闭合性颅脑损伤复杂性颅骨骨折一例颅脑创伤神经重症病例周刊150
图片尺寸858x521
mmexport1632498655462.jpg
图片尺寸2736x2832
脑病三科成功救治重型闭合性颅脑损伤一例
图片尺寸1200x828
图4 如图所示为π型截骨术,术中无需植入任何医源性固定材料.
图片尺寸555x298
颅缝早闭——治疗篇
图片尺寸1600x1088
孩子摔跤后昏迷不醒妈妈这样做救了一命
图片尺寸211x220
闭合性颅脑损伤
图片尺寸261x260
鹅蛋大的颅骨缺损20年,郑州市一院三维电脑塑形钛网修复
图片尺寸371x536
我院保守治疗一名重型闭合性颅脑损伤患者
图片尺寸500x375
重型闭合性颅脑损伤复杂性颅骨骨折一例颅脑创伤神经重症病例周刊150
图片尺寸600x800
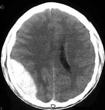
5疾病治疗(5)ct和磁共振检查,对颅脑损伤诊断也有重要意义.
图片尺寸300x200