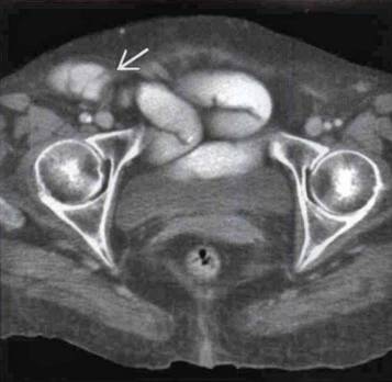
闭孔疝ct表现图

病例分享:闭孔疝典型ct表现,不要错过了!
图片尺寸1920x1080
患者二术前ct术中闭孔疝疝环
图片尺寸1024x1024
女性老年患者肠梗阻元凶之闭孔疝
图片尺寸3648x2736
闭孔疝相关科普
图片尺寸1180x866
由闭孔疝引起的腹痛伴大腿疼痛
图片尺寸3597x2865
一例闭孔疝肠梗阻 的临床决策
图片尺寸5408x3680
—二一五医院成功救治一名闭孔嵌顿疝患者
图片尺寸1080x1315
闭孔是盆腔通至大腿的孔道,由耻骨和髋骨的坐骨部分形成的圆孔
图片尺寸1440x2808
干货总结:闭孔疝ct表现
图片尺寸1080x608
推荐收藏腹外疝的影像表现
图片尺寸640x546
女性老年患者肠梗阻元凶之闭孔疝
图片尺寸3456x1522
印象:双侧腰疝.ct表现:双侧腰肋三角区可见腹膜后部分脂肪疝出至皮下
图片尺寸512x512
介绍一下腰疝的ct影像
图片尺寸1080x1439
各种疝的ct影像诊断
图片尺寸960x720
各种疝的ct影像诊断
图片尺寸960x720
又一例脐疝易复性疝
图片尺寸2992x4000
ecr 2018:罕见的腹外疝影像表现及鉴别诊断
图片尺寸827x596
20个腹壁病变的ct表现
图片尺寸357x348
腹内疝影像诊断学不会所有好课件都在这了
图片尺寸1080x810
各种疝的ct影像诊断
图片尺寸960x720