间质性肺炎胸片

间质性肺炎
图片尺寸500x524
间质性肺炎感染如何护理
图片尺寸400x267
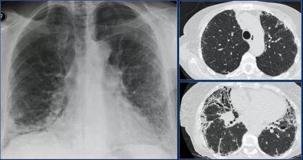
图10 uip左侧胸片显露网状间质性病变,肺基底部尤为显着.
图片尺寸440x233
右下肺间质改变?
图片尺寸2304x3072
【影像读片】间质性肺炎
图片尺寸512x512
正常胸片 间质性肺炎
图片尺寸1080x810
肺部感染性疾病的影像观察与分析
图片尺寸600x450
间质性肺炎
图片尺寸500x393![间质性肺炎,请各位战友看看这个病人 [病例帖]](https://i.ecywang.com/upload/1/img0.baidu.com/it/u=3739112405,1291902863&fm=253&fmt=auto&app=138&f=JPEG?w=500&h=667)
间质性肺炎,请各位战友看看这个病人 [病例帖]
图片尺寸2976x3968
老师帮忙看看下少许间质性肺炎怎么样新增66张ct
图片尺寸2448x3264
【影像读片】间质性肺炎
图片尺寸512x512
肺泡炎症和间质纤维化为病理基本病变,以活动性呼吸困难,x线胸片弥漫
图片尺寸354x318
请老师们阅片间质性肺炎
图片尺寸4208x3120
请老师们阅片间质性肺炎
图片尺寸4208x3120
bmj:间质性肺病诊治综述之概要篇
图片尺寸440x388
请老师们阅片间质性肺炎
图片尺寸3120x4208![【读片】间质性肺炎? [病例帖]](https://i.ecywang.com/upload/1/img0.baidu.com/it/u=444387236,2183325755&fm=253&fmt=auto&app=138&f=JPEG?w=500&h=890)
【读片】间质性肺炎? [病例帖]
图片尺寸2248x4000![【读片】间质性肺炎? [病例帖]](https://i.ecywang.com/upload/1/img2.baidu.com/it/u=1578315775,2406679598&fm=253&fmt=auto&app=138&f=JPEG?w=667&h=500)
【读片】间质性肺炎? [病例帖]
图片尺寸4000x3000
大叶性小叶性间质性肺炎你分清了吗
图片尺寸568x483
考虑啥改变,间质性肺炎仅仅?
图片尺寸2560x1920