间质性肺炎ct

ct诊断报告书写技巧(3)间质性肺炎
图片尺寸724x701
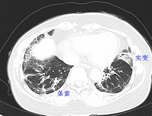
皮肌炎继发的间质性肺炎极易漏诊!从ct上怎么看?_患者_医生_胸膜
图片尺寸504x387
对于初学者,胸部ct胸膜下是good的,一般不是间质性肺炎
图片尺寸512x512
靶向药致命的副作用——间质性肺炎-咚咚肿瘤科
图片尺寸640x584
肺泡炎,支气管炎,间质性肺炎的ct影像分享#医学影像 #放射 - 抖音
图片尺寸1104x2156
这个间质性肺炎,还挺少见的_肺泡_显示_患者
图片尺寸510x514
这个间质性肺炎,还挺少见的_肺泡_显示_患者
图片尺寸1080x1080
肺放线菌病是间质性肺炎(无论在肺泡或支气管,都会与氧气充分接触
图片尺寸512x512
间质性肺炎_间质性肺炎 - 好大夫在线
图片尺寸800x600
【影像读片】间质性肺炎
图片尺寸512x512
【影像读片】间质性肺炎
图片尺寸512x512
患者女性,59岁,间质性肺炎
图片尺寸1199x1599
这个间质性肺炎,还挺少见的_肺泡_显示_患者
图片尺寸425x306
间质性肺炎的临床组织学及ct特点
图片尺寸484x376
【病例】过敏性肺炎1例ct影像表现
图片尺寸438x480
间质性肺炎 (原创)
图片尺寸1183x1285
杨女士治疗后的胸部ct新疆的李先生,确诊间质性肺炎1年多,长期在三甲
图片尺寸1124x944
间质性肺炎发作都有哪些表现
图片尺寸439x313
致命间质性肺炎mda5阳性皮肌炎继发快速进展型间质性肺炎
图片尺寸947x379
格艾选读丨特发性间质性肺炎(1)
图片尺寸532x825