间质瘤晚期

最近手术见(小肠间质瘤低度恶性)
图片尺寸3264x2448
小肠间质瘤 - 好大夫在线
图片尺寸1733x1477
腹部巨大小肠间质瘤一例! - 好大夫在线
图片尺寸610x343
小肠间质瘤 - 好大夫在线
图片尺寸1310x1530
间质瘤早期治疗手段多样化,微创化,预后效果好,复发率低,中晚期的患者
图片尺寸1072x1289
最近手术见(小肠间质瘤低度恶性)
图片尺寸3264x2448
胃肠道间质瘤是癌症吗?本文给你全方位的专业解读
图片尺寸640x480
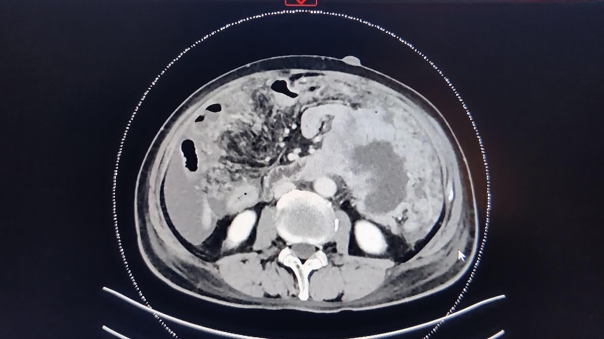
晚期腹腔间质瘤(胃肠间质瘤),减瘤成功解除梗阻,附ct图像,难度不低!
图片尺寸1920x1080
小肠间质瘤病例复习
图片尺寸960x1280
最近手术见(小肠间质瘤低度恶性)
图片尺寸3264x2448
间质瘤严重吗 间质瘤医保
图片尺寸549x442
十二指肠巨大间质瘤 - 知乎
图片尺寸1536x2048
小肠间质瘤破裂出血1例 - 好大夫在线
图片尺寸3024x4032
小肠间质瘤术后复发
图片尺寸960x1280
小肠间质瘤病例复习
图片尺寸960x1280
胃巨大恶性间质瘤伴肝转移 胃肠胸外科 梁万明
图片尺寸2000x2667
【共享】罕见的巨大胃间质瘤
图片尺寸640x480
小肠间质瘤破裂出血1例 - 好大夫在线
图片尺寸3024x4032
恶性间质瘤 小肠,等你分析 | 读片专栏1167期_检查
图片尺寸1080x720
间皮瘤癌
图片尺寸300x225