阑尾断层解剖

10幅图教你学会在ct片上找到阑尾!_手机搜狐网
图片尺寸426x442
全面讲解正常阑尾和阑尾炎的ct表现
图片尺寸640x480
阑尾炎的ct诊断 | 影像天地
图片尺寸960x720
全面讲解 | 正常阑尾和阑尾炎的ct表现_相关
图片尺寸640x480
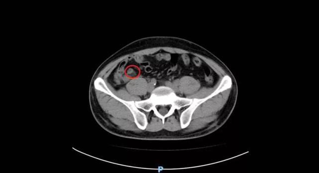
小心误诊,这可不是急性阑尾炎_医学界-助力医生临床决策和职业成长
图片尺寸661x562
全面讲解正常阑尾和阑尾炎的ct表现
图片尺寸640x480
断层解剖ppt
图片尺寸1080x810
看图学病丨阑尾炎appendicitis
图片尺寸660x566
开课了急性阑尾炎的ct诊断及鉴别诊断
图片尺寸1200x900
阑尾临床解剖全知道1
图片尺寸640x282
全面讲解 | 正常阑尾和阑尾炎的ct表现_相关
图片尺寸640x480
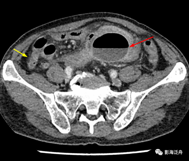
小心误诊这可不是急性阑尾炎
图片尺寸677x575
断层2断层1粪石梗阻阑尾炎冠状位2横断面冠状位1
图片尺寸3000x4000
阑尾解剖概要 阑尾动脉
图片尺寸1080x810
阑尾炎
图片尺寸1080x810
阑尾炎的ct诊断
图片尺寸960x720
解剖与生理 手术中沿结肠带向下追踪可找到阑尾.
图片尺寸1080x810
ppt 阑尾疾病 阑尾的体表投影 阑尾的解剖生理
图片尺寸1080x810
小小阑尾炎没放心上,差点损伤了这个重要器官!
图片尺寸641x347
小心误诊这可不是急性阑尾炎
图片尺寸679x547