阑尾粪石ct图片

阑尾炎(粪石)ct
图片尺寸2981x1677
图1:我院腹部ct平扫提示粪石性肠梗阻.
图片尺寸4032x3024
急性阑尾炎腔内粪石梗阻
图片尺寸576x432
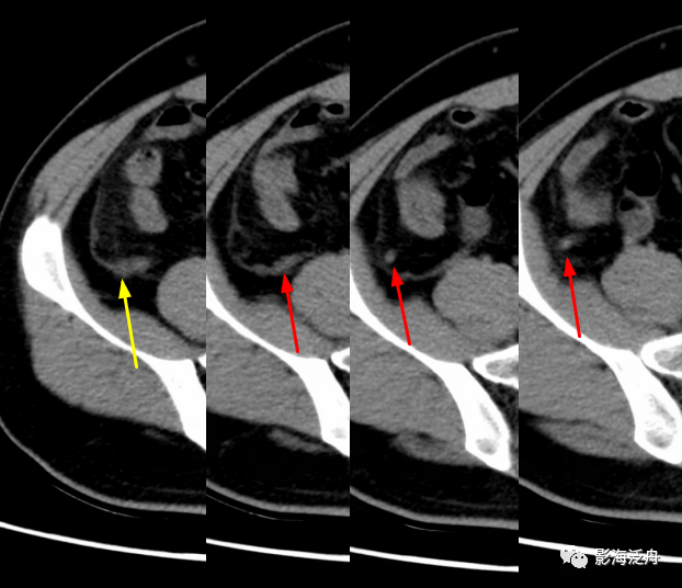
阑尾增粗,肿胀,阑尾口见粪石,周围脂肪间隙模糊,见索条影,曲面重建可
图片尺寸1080x444
跑进阑尾里的粪石!
图片尺寸1080x810
急性粪石性阑尾炎一例
图片尺寸680x907
阑尾切除术后20年,阑尾残端粪石形成
图片尺寸600x448
ct诊断急性阑尾炎需要注意什么
图片尺寸1080x1440
断层2断层1粪石梗阻阑尾炎冠状位2横断面冠状位1
图片尺寸3000x4000
阑尾ct扫描对于阑尾粪石的检出率极高,阑尾粪石的发现,有助于阑尾的
图片尺寸431x414
阑尾炎并粪石形成,阑尾周围可见渗出
图片尺寸1200x1200
【共享】急性阑尾炎ct诊断的小结
图片尺寸2048x2560
粪石梗阻阑尾炎冠状位2横断面冠状位1
图片尺寸4000x3000
(阑尾粪石)
图片尺寸640x329
阑尾粪石(阑尾钡餐显示)典型影像
图片尺寸1700x1448
粪石梗阻阑尾炎合并妇科疾病憩室炎2同一患者升结肠憩室炎表现憩室炎
图片尺寸4000x3000
小心误诊,这可不是急性阑尾炎_医学界-助力医生临床决策和职业成长
图片尺寸622x536
阑尾切除术后20年,阑尾残端粪石形成
图片尺寸600x448
急性阑尾炎(粪石?)伴局限性腹膜炎
图片尺寸512x512
健康治疗阑尾炎一定要忍痛挨刀也许你还有别的选择
图片尺寸1080x449