阴超 宫外孕

超典型宫外孕左侧输卵管间质部妊娠一例
图片尺寸743x528
阴超词条图册_百度百科
图片尺寸400x297
宫外孕典型图
图片尺寸758x566
怀孕刚好30天,今天的彩超,请问这个是宫外孕吗?
图片尺寸4032x3024
典型宫外孕
图片尺寸2592x1552
阴超发现一例宫外孕
图片尺寸704x576
69 论坛 69 宫外孕
图片尺寸608x810
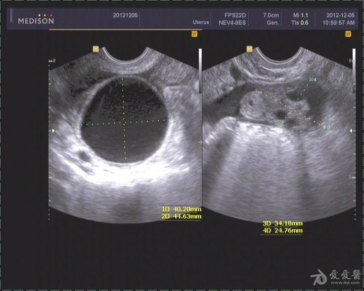
宫外孕
图片尺寸720x540
"我女儿14岁,刚来初潮,b超显示宫外孕"
图片尺寸1065x1165
宫外孕声像图
图片尺寸2667x2000
我女儿14岁刚来初潮b超显示宫外孕
图片尺寸963x931
一例典型宫外孕
图片尺寸768x576
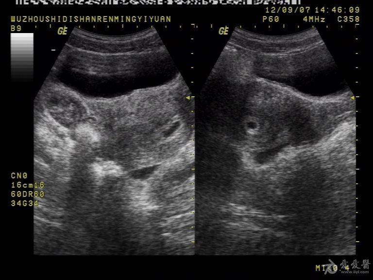
宫外孕后做了微创手术后一个月拍的阴超 懂的人帮忙看看是不是正常
图片尺寸768x1024
典型和不典型的宫外孕超声表现你都要掌握哦
图片尺寸433x600
一例宫内孕合并宫外孕的彩超
图片尺寸1936x2592
妙手仁心淮阴区妇幼保健院成功救治一例罕见宫外孕
图片尺寸1080x988
宫外孕
图片尺寸768x576
【共享】典型宫外孕和大家分享
图片尺寸1280x720
宫外孕?
图片尺寸720x576
妇产科医生必备干货异位妊娠的超声表现最全图解上篇
图片尺寸640x479