阿兹海默症 大脑

把大脑变坏的,正是很多老人性情转变的原因——阿尔茨海默病
图片尺寸399x422
七种防止阿尔茨海默症的方法 做到远离阿尔茨海默症
图片尺寸650x439
阿尔兹海默症如何改变大脑的 (美国国家阿尔兹海默症研究中心三年前
图片尺寸1212x757
阿尔兹海默症研究进展一览_大脑
图片尺寸400x258
世界阿尔兹海默症日 你对它了解多少?
图片尺寸600x920
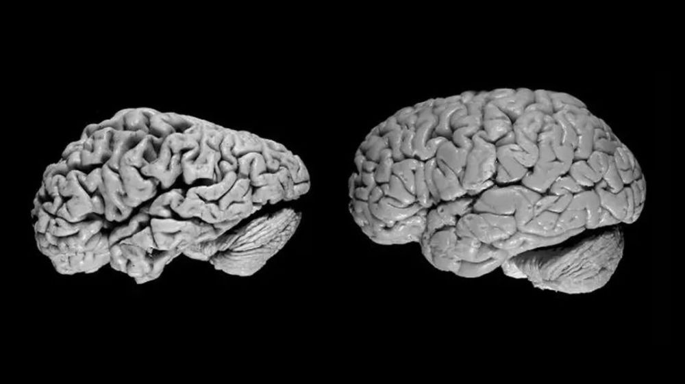
患有阿尔兹海默症患者大脑(左)与正常人大脑(右)2iot可穿戴设备诊断
图片尺寸1000x561
老年人的四大杀手之一阿尔兹海默症
图片尺寸645x327
【科普】一篇图文让你读懂阿尔茨海默症,你值得收藏!
图片尺寸457x292
岁月神偷阿尔兹海默症
图片尺寸625x482
阿尔兹海默病患者萎缩的大脑(右)
图片尺寸642x526
患有阿茨海默症的老人大脑后出现萎缩的现象,这究竟是什么原因造成的
图片尺寸640x229
科学家开发出首套能够模拟出阿尔茨海默症如何在大脑中发展的计算机
图片尺寸700x394
阿尔茨海默症
图片尺寸720x480
大脑也有"老年斑",八成阿尔茨海默病患者错失诊治良机
图片尺寸640x400
颠覆教条cell子刊抗阿尔兹海默症药物或许会加速病情发展
图片尺寸580x435
不只是大脑,阿尔兹海默症或许是"全身性疾病"!
图片尺寸500x333
《自然医学》:脑内神经炎症是阿尔茨海默病的"真正元凶"_大脑
图片尺寸700x379
阿尔茨海默症患者的大脑,萎缩到只剩正常大脑的一半 /《事物的本质》
图片尺寸1080x754
吞噬大脑记忆患上阿尔茨海默症有多可怕
图片尺寸1080x720
为什么得了阿尔兹海默症的病人会忘了最近发生的事反而记得久远的事呢
图片尺寸660x296