阿奇那

朋友圈疯传,官方紧急提醒:有风险!_阿奇_孩子_用药
图片尺寸1080x1090
《apex英雄》传奇英雄介绍篇——寻血猎犬
图片尺寸1455x818
汪汪队 阿奇和韩丁那交换了灵魂
图片尺寸964x602
特里杰没说什么 作者其实我不是来更新的 阿奇那你来干什么? 作者5.
图片尺寸562x750
汪汪队韩丁那市长不小心从屋顶滑落阿奇不计前嫌开展营救
图片尺寸600x400
谁说天天和阿奇是最配的,那也不一定啊!有珠珠那张你仔细看
图片尺寸300x300
阿奇那的遗产
图片尺寸310x396
紧急提醒:慎用|肺炎|阿奇|霉素|支原体|药品说明书_网易订阅
图片尺寸660x597
默浅笙箫
图片尺寸360x480
汪汪队:阿奇看到天天鱼尾巴,惊吓过度,直接晕过去了!
图片尺寸864x486
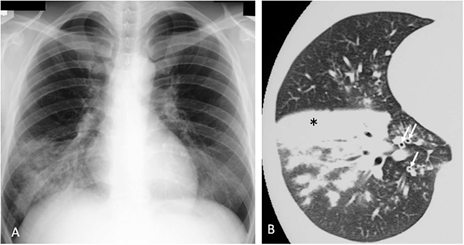
支原体肺炎的10个热点问题_阿奇_药物_治疗
图片尺寸1080x952
媒体评肺炎支原体"网红药方"走红,切勿自行用药!
图片尺寸464x245
汪汪队立大功:狗狗阿奇的重要任务,那就是皇宫守护皇冠
图片尺寸640x426
科幻迷有福啦,美剧《星际迷航:发现号》第一_阿奇那_好玩818游戏网
图片尺寸600x416
汪汪队立大功:整理轨道人手还不够 那就叫阿奇来支援吧
图片尺寸640x360
汪汪队立大功阿奇跟随着韩丁那市长进入了山洞
图片尺寸668x375
默浅笙箫
图片尺寸720x1280
汪汪队:阿奇变成人鱼狗,有尾巴的他,在海底简直如虎添翼!
图片尺寸864x486
韩丁那用飞艇掳走追风,汪汪队天天高空拆除加速器,阿奇飞上空中救人
图片尺寸1280x720
这是那只狗狗的脚#汪汪队立大功 #莱德 #阿奇 #搞笑视频
图片尺寸1728x1080