陈旧性肺结核

陈旧性肺结核症状陈旧性肺结核症状及表现2022已更新今日动态
图片尺寸474x525
一例教科书级胸片:典型"陈旧性肺结核"
图片尺寸1242x1656
每天学一张ct片02期陈旧性肺结核肺气肿
图片尺寸1088x814
肺结核. 旧病人的胸部x线片
图片尺寸700x960
肺结核典型影像学_肺结核_肺结核检查 - 好大夫在线
图片尺寸1600x1200
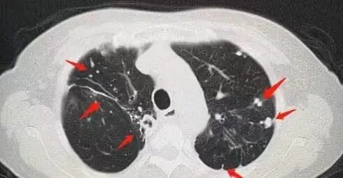
每天学一张ct片02期陈旧性肺结核肺气肿
图片尺寸695x529
双上肺陈旧性肺结核 右中肺野钙化灶_第二人生
图片尺寸474x438
【影像读片】陈旧性肺结核合并气胸治疗?
图片尺寸639x916
陈旧性肺结核很多人都有吗陈旧性肺结核为什么医生说没事2022已更新
图片尺寸474x711
陈旧性肺结核症状陈旧性肺结核症状及表现2022已更新今日动态
图片尺寸474x474
头条问答 - 陈旧性肺结核会复发吗?(12个回答)
图片尺寸500x313
陈旧性肺结核ppt课件ppt
图片尺寸800x600
空洞型肺结核
图片尺寸500x750
x光附图扫描报告陈旧性肺结核疑似结核球形
图片尺寸822x692
一例重症肺结核的资料
图片尺寸2666x2000
肺结核
图片尺寸1072x812
陈旧性肺结核症状陈旧性肺结核症状及表现2022已更新今日动态
图片尺寸474x568
是否陈旧性肺结核
图片尺寸4500x3277
"大多数的疤痕不是肺结核造成的,而是其它广泛因素诱因导致.
图片尺寸490x254
每天学一张ct片02期陈旧性肺结核肺气肿
图片尺寸1070x794