隐形托槽矫正

美呀隐形无托槽矫治器是什么样的?
图片尺寸450x450
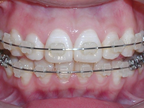
什么是隐形矫正?-陈大伟-爱问医生
图片尺寸1698x1131
对医生水平要求高 ◆ 矫正方式三:舌侧托槽矫正 项目介绍:舌侧矫正
图片尺寸640x426
隐形托槽矫正又称为隐形托槽矫治术,陶瓷托槽正畸,局部麻醉
图片尺寸640x377
61好比特9693venus美学舒适化陶瓷球形自锁托槽 金属球 - 抖音
图片尺寸1494x857
隐形托槽矫正又称为隐形托槽矫治术,陶瓷托槽正畸,局部麻醉
图片尺寸640x446
隐形无托槽矫正技术,是根据每个人的实际情况,通过计算机辅助三维诊断
图片尺寸2480x2480
无托槽隐形矫治器有哪些优点?
图片尺寸4800x3200
隐形矫正和陶瓷托槽矫正的区别.jpg
图片尺寸1299x748
隐形牙齿矫正
图片尺寸500x375
半隐形矫正器需要要2周换一次吗?
图片尺寸454x298
无托槽隐形矫正,是指牙齿上面不再粘接托槽和结扎钢丝,矫治器就是可以
图片尺寸1280x852
金属托槽矫正特点与效果图
图片尺寸646x340
无托槽隐形矫治 |循序渐进,口腔正畸不容"标配
图片尺寸1080x720
新年讲话丨无托槽隐形矫治技术能否取代传统矫治技术白玉兴教授的看法
图片尺寸1956x1188
金属托槽矫正技术,ebrace舌侧隐形矫正技术,隐形无托槽正畸技术是
图片尺寸1080x608
隐形牙套数字化无托槽隐形矫治技术
图片尺寸640x390
成人无托槽隐形矫正牙套 透明保持矫正牙套 矫正龅牙 不齐 牙缝大
图片尺寸800x800
关于沪鸽美悦隐形矫正,你想知道的都在这儿!
图片尺寸1080x563
舌侧矫治托槽
图片尺寸5616x3744