隐适美效果图

圣琪口腔王晓琳团队正畸案例##隐适美##牙齿矫正
图片尺寸690x1206
解封就美牙dentexcel7折的隐适美别错过还送超值好礼
图片尺寸941x924
优诺隐适美牙齿矫正中心候诊区效果图
图片尺寸2800x1314
隐适美矫正第371天_隐适美怎么样_牙齿矫正_口腔_美妆_医美整形
图片尺寸1080x1439
隐适美105天对比
图片尺寸1080x1080
隐适美隐形矫正
图片尺寸940x656
隐适美隐形矫正案例
图片尺寸750x744
三,正雅隐形矫正和隐适美价格
图片尺寸1200x734
隐适美14个月对比整个颌面比例都被改善了
图片尺寸828x1000
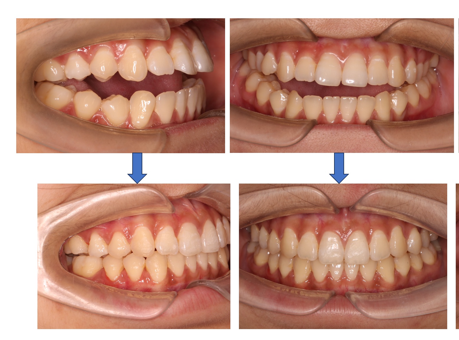
9: 隐适美 支抗钉 治疗前牙3.5 mm开合
图片尺寸1558x1154
隐适美第18副牙套对比图
图片尺寸1080x1080
随着隐形牙套的日益受宠,除隐适美,时代天使,正雅之外,市场上不断衍生
图片尺寸2560x1707
牙套妹日常分享--隐适美第二副牙套和贴附件后(四)
图片尺寸960x1280
隐适美无牙套
图片尺寸3000x990
隐适美第21副谁说隐适美没效果
图片尺寸1080x1439
三明市进口隐适美隐形矫正排行榜前十正式公布-三明市进口隐适美隐形
图片尺寸500x500
儿童牙齿矫正案例-隐适美矫正
图片尺寸1440x1555
民宿设计案例|小隐于山
图片尺寸640x853
隐适美矫正案例深覆合牙齿拥挤不齐
图片尺寸1134x1084
隐适美牙齿矫正免费体验日 ● 我是女王,我要"直"白
图片尺寸800x1133