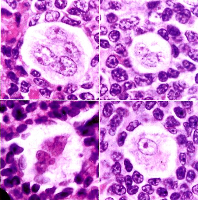
霍奇金细胞

经典型霍奇金淋巴瘤看看有多少嗜酸性粒细胞
图片尺寸1080x1080
经典型霍奇金淋巴瘤看看有多少嗜酸性粒细胞
图片尺寸1080x1080
《霍奇金病》ppt课件
图片尺寸920x690
经典霍奇金淋巴瘤chl新药默沙东keytruda在欧盟获批疗效击败adcetris
图片尺寸422x320
【衡道 | 干货】经典型霍奇金淋巴瘤病理诊断要点|细胞|霍奇金|淋巴瘤
图片尺寸1035x573
结节硬化型霍奇金淋巴瘤:陷窝细胞
图片尺寸504x331
(副高)a,reed-sternberg细胞(又称镜影细胞) b,霍奇金细胞(又称h细胞)
图片尺寸358x268
l540人霍奇金淋巴瘤复苏细胞提供str鉴定图谱
图片尺寸1392x1040
图霍奇金病镜下观箭头所指为肿瘤细胞相应名称是
图片尺寸442x331
结节性淋巴细胞为主型霍奇金淋巴瘤怎么选择治疗方案?
图片尺寸625x426
l-540 人霍奇金淋巴瘤细胞系的应用
图片尺寸393x387
km-h2人霍奇金淋巴瘤细胞
图片尺寸1252x467
淋巴细胞丰富型经典型霍奇金淋巴瘤
图片尺寸800x602
混合细胞型霍奇金淋巴瘤(mchl),结
图片尺寸934x689
霍奇金淋巴瘤(hodgkinlymphoma)涂片中特征性瘤细胞为霍奇金细胞,即r
图片尺寸381x309
核膜折叠,可见多个小-中等核仁,结节硬化性chl的典型细胞霍奇金细胞
图片尺寸1080x605
箭头所示rs细胞,细胞体积大,核仁明显,是霍奇金淋巴瘤特征性reed
图片尺寸504x331
细胞见于hodgkins lymphoma( a target="_blank" href="/item/霍奇金
图片尺寸650x657
经典霍奇金淋巴瘤(classical hodgkins lymphoma,chl)是一种淋巴细胞
图片尺寸1091x549
(右锁骨上淋巴结)经典霍奇金淋巴瘤,淋巴细胞消减型病例【52086群第61
图片尺寸1600x900