青少年脑萎缩

16岁少女脑萎缩
图片尺寸3648x2048
16岁少女脑萎缩
图片尺寸4208x2368
脑萎缩
图片尺寸640x380
脑萎缩如何预防
图片尺寸500x350
脑萎
图片尺寸500x285
小脑萎缩的症状 小脑萎缩会影响人的寿命吗(装修十万个为什么)2023-01
图片尺寸640x650
脑萎缩的症状 脑萎缩的临床表现
图片尺寸640x670
可以让小脑萎缩患者重获新生的治疗方法
图片尺寸369x237
14岁孩子查出脑萎缩,只因爱吃2种早餐_大脑
图片尺寸568x300
【随想】这个年轻人真的脑萎缩了?
图片尺寸930x2067
小心误诊这可不是单纯的脑萎缩
图片尺寸875x527
打骂可致孩子脑萎缩现在知道你的孩子为什么笨了吧
图片尺寸1347x790
记忆力减退就是「老年痴呆」吗?脑萎缩又是怎么回事?
图片尺寸545x480
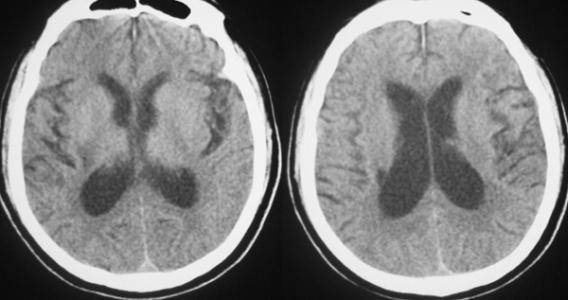
头颅ct平扫显示脑皮层萎缩.
图片尺寸750x795
青少年也是有可能会患上脑萎缩,你预防好了吗?
图片尺寸534x300
什么是脑萎缩
图片尺寸400x366
脑萎缩?
图片尺寸640x853
小脑萎缩治疗费用多少钱小脑萎缩治疗护理
图片尺寸641x499
脑萎缩
图片尺寸1440x500
出生两个月小儿脑萎缩
图片尺寸2048x1536