非典型肺炎图片

2002年非典型性肺炎(sars)疫情 | 戴连攀供图
图片尺寸1080x837
传染性非典型肺炎主要症状表现
图片尺寸500x300
非典型肺炎肺标本
图片尺寸400x295
非典型肺炎(新冠肺炎事件)
图片尺寸645x534
非典型肺炎(疾病)
图片尺寸500x380
传染性非典型肺炎 ppt课件
图片尺寸1080x810
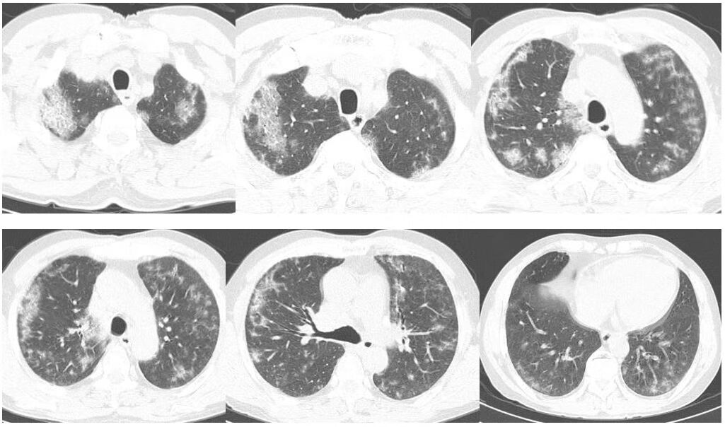
非典型肺炎(新冠肺炎事件)
图片尺寸1025x604
非典型肺炎(sars)jdb
图片尺寸1080x810
sars非典型性肺炎ppt课件
图片尺寸920x690
2003年非典如何消失的(怎么治愈好的) - 龙腾网
图片尺寸1278x804
sars病毒
图片尺寸500x375
患者_非典型肺炎_症状
图片尺寸1024x675![《非典型肺炎:冠状病毒基因全序列》扫描版[pdf]](https://i.ecywang.com/upload/1/img0.baidu.com/it/u=397139251,3821926147&fm=253&fmt=auto&app=138&f=JPEG?w=500&h=672)
《非典型肺炎:冠状病毒基因全序列》扫描版[pdf]
图片尺寸560x753
什么是sars(非典型肺炎)爆发?
图片尺寸640x394
非典型肺炎在30 多个国家和地区造 成8000多人感染和 900多人死亡.
图片尺寸1080x810
sars非典型肺炎ppt
图片尺寸800x600
该论文指出,新冠病毒比sars(非典型肺炎)和mers(中东呼吸综合征冠状
图片尺寸1080x540
由于致病菌(即病因)不同,将肺炎分为细菌性肺炎,病毒性肺炎,非典型病
图片尺寸718x479
传染性非典型肺炎流行病与预防控制ppt学习教案
图片尺寸920x690
2002-2003年传染性非典型肺炎
图片尺寸1080x810