靴型心图片

靴形心
图片尺寸229x208
普大型心梨形心靴形心的片子究竟怎么看啊丁香园
图片尺寸614x663
60主动脉型靴形心左心室扩大法洛四联征,主动脉瓣膜疾病,高血压心脏病
图片尺寸347x363
梨形心靴形心烧瓶心这也样看平片想不会都难
图片尺寸1040x852
靴型心.梨形心:上学时喜欢在书上乱画.线图,供参考.梨形心.
图片尺寸584x539
心血管正常影像表现
图片尺寸1080x810
两穿超高跟中筒靴
图片尺寸310x310
爱心厚毛短靴
图片尺寸1785x1785
诊断:○ 靴型心○ 梨形心○ 普大型心脏○ 正常心脏○ 以上均不是病史
图片尺寸1080x411
jcc 创意心形高跟短靴
图片尺寸1100x1390
心形靴子
图片尺寸540x957
爱心马丁靴图片
图片尺寸300x300
心形靴子
图片尺寸540x957
3. 靴型2.
图片尺寸814x495
2)"主动脉"型:左心缘向外膨凸,心腰凹陷,主动脉结凸出,形如靴形.
图片尺寸375x414
梨形心:心脏形状像梨子一样,特点是肺动脉段凸出,左心室缩小,这提示
图片尺寸1080x684
无忧文档 所有分类 医药卫生 心脏瓣膜病1 梨形心 胸片 靴型心 并发症
图片尺寸1053x605
高清心血管疾病影像诊断你的收藏里怎能没有如此精品
图片尺寸579x720
圆头v口长靴来啦性感时髦镂空气质max60
图片尺寸1080x1440
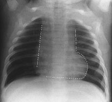
天天师兄说明:靴型心:心脏形状像靴子一样,特点就是心腰明显凹陷,左
图片尺寸892x773