韧带样瘤

颈部韧带样纤维瘤病影像诊断
图片尺寸1280x960
带你认识腱鞘巨细胞瘤
图片尺寸622x367
右侧肘关节巨大腱鞘纤维瘤1例
图片尺寸365x466
中国医学科学院肿瘤医院万经海教授头颈部韧带样纤维瘤一例
图片尺寸573x583
韧带样纤维瘤病如何诊断
图片尺寸932x574
优质一例韧带样纤维瘤,您有见过么?
图片尺寸1320x606
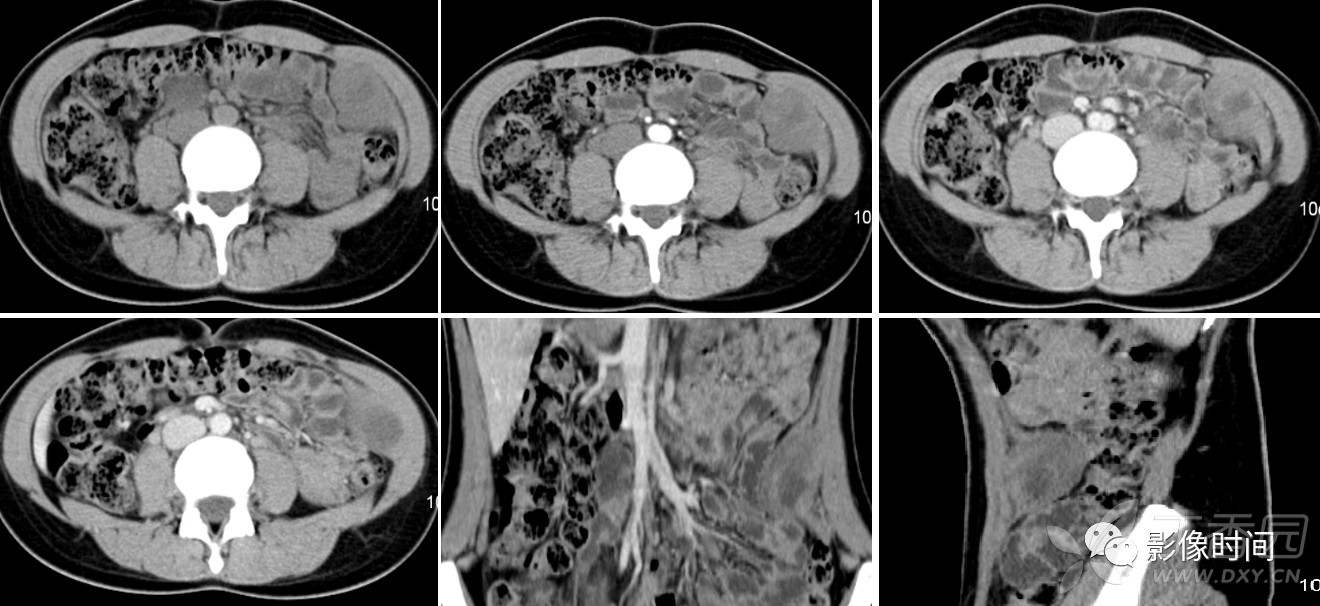
右腹壁肿物---韧带样型纤维瘤病
图片尺寸965x772
右腹壁肿物---韧带样型纤维瘤病
图片尺寸965x772
右腹壁肿物---韧带样型纤维瘤病
图片尺寸965x772
韧带样纤维瘤病如何诊断
图片尺寸925x549
腹壁韧带样纤维瘤
图片尺寸342x440
盆腔占位(阔韧带平滑肌瘤)
图片尺寸3120x4208
要将肿瘤完整摘除,需要将脊柱后部的椎板及韧带切除后,打开椎管,实施
图片尺寸640x857
侵袭性纤维瘤病/硬纤维瘤/韧带样纤维瘤(二)
图片尺寸1079x1919
侵袭性纤维瘤病/硬纤维瘤/韧带样纤维瘤(二)
图片尺寸1199x2132
右腹壁肿物---韧带样型纤维瘤病
图片尺寸965x772
膝关节皮下软组织多形性横纹肌肉瘤病例分析
图片尺寸574x378
右腹壁肿物---韧带样型纤维瘤病
图片尺寸965x772
侵袭性纤维瘤病/硬纤维瘤/韧带样纤维瘤(二)
图片尺寸1199x2132
右腹壁肿物---韧带样型纤维瘤病
图片尺寸965x772